症例詳細
Case detail
虫歯による歯の喪失 インプラントによる咬合機能回復
治療症例の内容
- 診療科目
- 担当医
- 大元洋佑(ドクタープロフィール)
- 患者様
- 40代女性
- 治療期間
- 1年
- 治療回数
- 5-10回
- 治療計画
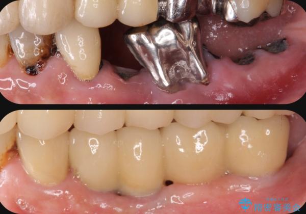
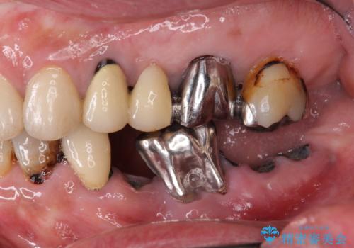
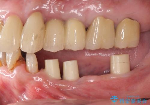
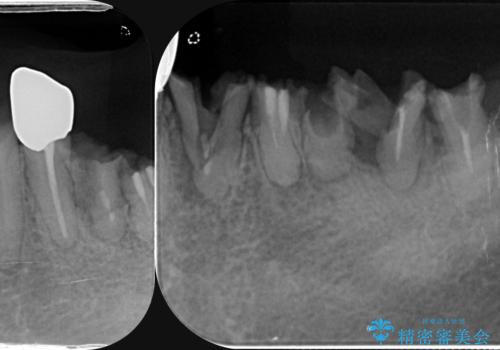
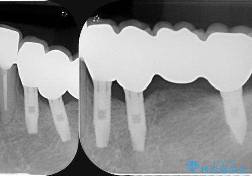
- 深い虫歯や歯の破折、多数の問題を口腔内に抱えて来院されました。
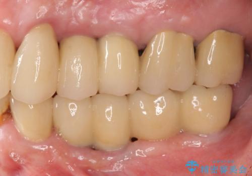
 虫歯の徹底的な除去、安定した噛み合わせを達成するインプラント治療、深い虫歯、根管治療といった複数の治療項目を一つづつ積み重ね、長期的な予後を目指します。
- 費用(概算)
- 150万円費用は治療当時の料金となります
治療について
複雑な問題点に対する明確な治療目標を立てることで、最終的に長い予後を期待できる治療を達成することができます。
セラミック治療の注意事項(リスク・副作用など)
- 天然歯を削ります
- 硬い素材は天然歯を傷つけてしまう場合があります
- かみ合わせや歯ぎしりが強すぎる方はセラミックが割れてしまう可能性があります
- 自費診療(保険適用外治療)となります
インプラント治療の注意事項(リスク・副作用など)
- 外科手術のため、術後に痛みや腫れ、違和感を伴います
- メンテナンスを怠ったり喫煙により、お口の中に大きな悪影響を及ぼすインプラント周囲炎等にかかる可能性があります
- 糖尿病、肝硬変、心臓病等の場合、インプラント治療ができない可能性があります
- 高血圧、貧血・不整脈等の場合、インプラント治療後に治癒不全を招く可能性があります
- 自費診療(保険適用外治療)となります
当サイトの内容、テキスト、画像等の無断転載、複製、複写、盗用を固く禁じます。








 
                       
                                                          








 
                  ![[ 歯周病・矯正・セラミック補綴 ] 歯の総合的なマネージメントを行う包括的歯科治療の実践](https://seimitsushinbi.jp/wp/wp-content/uploads/2025/10/b57eefab4ff43702de5d7c50cfff5d76.jpg?v=1760768780) 
                   
                  ![[エプーリスの切除] 前歯オールセラミック ブリッジ治療](https://seimitsushinbi.jp/wp/wp-content/uploads/2017/09/81ad0ed074b22350c320dae44b54f3c3-500x350.jpg)