症例詳細
Case detail
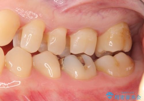
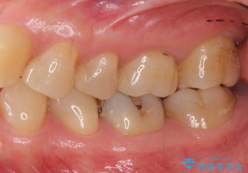
3本仮づめのまま放置 セラミックインレーへ
治療症例の内容
- 診療科目
- 治療カテゴリ
- 担当医
- 井上季実子(ドクタープロフィール)
- 患者様
- 20代女性
- 治療期間
- 1ヶ月
- 治療回数
- 2-5回
- 治療計画
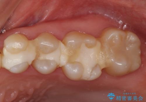
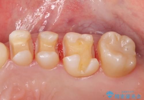
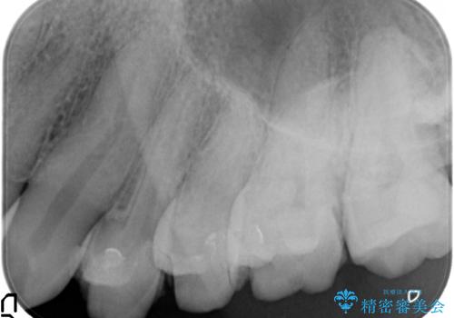
- 他院で治療途中で放置したところを治療したいとご来院されました。
仮づめはフロスもできないため、不潔になりやすく長期的には虫歯になりやすいです。
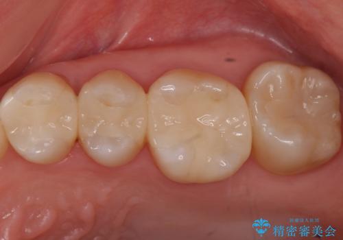
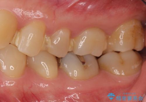
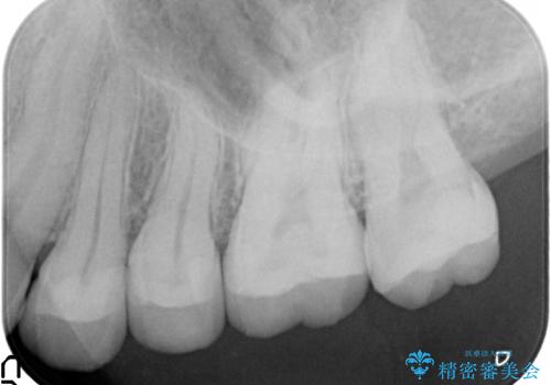
目立たない白いものがご希望とのことで、セラミックインレーで修復しました。
- 費用(概算)
- 21万円(左上567:セラミックインレー 7万円x3本)費用は治療当時の料金となります
治療について
仮づめの状態でしたが、そこまで中は虫歯になっておらず、神経の治療も不要でした。
セラミック治療の注意事項(リスク・副作用など)
- 天然歯を削ります
- 硬い素材は天然歯を傷つけてしまう場合があります
- かみ合わせや歯ぎしりが強すぎる方はセラミックが割れてしまう可能性があります
- 自費診療(保険適用外治療)となります
当サイトの内容、テキスト、画像等の無断転載、複製、複写、盗用を固く禁じます。








