症例詳細
Case detail
歯ぐきが下がり歯がしみる 歯肉移植による治療
治療症例の内容
- 診療科目
- 治療カテゴリ
- 担当医
- 大元洋佑(ドクタープロフィール)
- 患者様
- 20代男性
- 治療期間
- 1ヶ月
- 治療回数
- 2-5回
- 治療計画
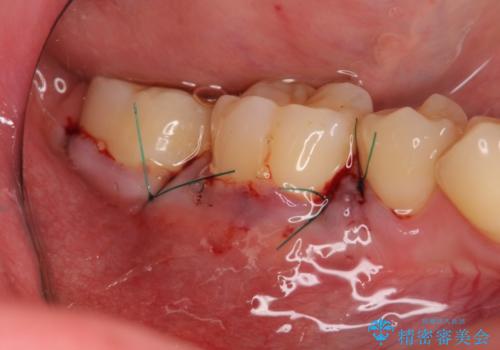
- 定期的にクリーニングに通われている中、右下の歯がどんどん染みるようになってきていることの改善を希望されました。
元々歯ブラシの圧が強く、歯が削れてしまい歯ぐきも下がってしまっている状態です。
数ヶ月知覚過敏薬を塗布し続けましたが改善見られず、下がってしまった歯ぐきを移植により改善する治療計画をたてます。
- 費用(概算)
- 15万円(歯肉移植・静脈内鎮静法)費用は治療当時の料金となります
知覚過敏治療について
写真ではわずかな差ですが、移植後は知覚過敏の症状が全くなくなり歯ぐきの厚みも獲得できたことから安定して歯ブラシが行えるようになったと満足いただくことができました。
歯周病治療の注意事項(リスク・副作用など)
- 外科手術のため、術後に痛みや腫れ、違和感を伴います
- 歯周組織再生治療は患者様の状態によって術後の経過が異なります(見た目が改善しない場合もあります)
- 歯周組織再生治療は自費診療(保険適用外)となります
当サイトの内容、テキスト、画像等の無断転載、複製、複写、盗用を固く禁じます。





