症例詳細
Case detail
[嘔吐反射がひどく義歯がつけられない] 臼歯部インプラント補綴
治療症例の内容
- 診療科目
- 治療カテゴリ
- 担当医
- 大元洋佑(ドクタープロフィール)
- 患者様
- 60代女性
- 治療期間
- 6ヶ月
- 治療回数
- 5-10回
- 治療計画
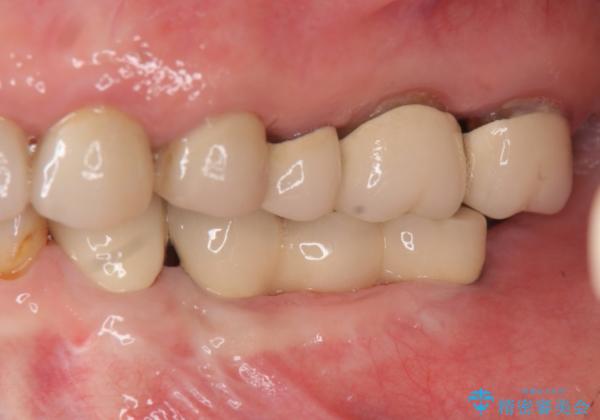
- 奥歯を虫歯により喪失し噛めないこと、また嘔吐反射が強く入れ歯を入れられないことの相談で来院されました。
 ストローマンインプラント を用いて、しっかりとした咬合機能の回復を計画します。
- 費用(概算)
- 90万円(ストローマンインプラント×2・骨造成・チタンカスタムアバットメント×2・ジルコニアクラウン×3)費用は治療当時の料金となります
臼歯部インプラント治療について
複数失ってしまった歯をインプラント補綴することで入れ歯を入れず、しっかりとした咬合機能回復が可能となります。
インプラント治療の注意事項(リスク・副作用など)
- 外科手術のため、術後に痛みや腫れ、違和感を伴います
- メンテナンスを怠ったり喫煙により、お口の中に大きな悪影響を及ぼすインプラント周囲炎等にかかる可能性があります
- 糖尿病、肝硬変、心臓病等の場合、インプラント治療ができない可能性があります
- 高血圧、貧血・不整脈等の場合、インプラント治療後に治癒不全を招く可能性があります
- 自費診療(保険適用外治療)となります
当サイトの内容、テキスト、画像等の無断転載、複製、複写、盗用を固く禁じます。








 
                       
                                                          ![[嘔吐反射がひどく義歯がつけられない] 臼歯部インプラント補綴 の治療前](https://seimitsushinbi.jp/wp/wp-content/uploads/2020/03/1b03fb94a80967489da3fbc10eca6c8f-500x350.jpg?v=1585390188)
![[嘔吐反射がひどく義歯がつけられない] 臼歯部インプラント補綴 の治療中](https://seimitsushinbi.jp/wp/wp-content/uploads/2020/03/IMG_9889-500x350.jpg?v=1585390266)
![[嘔吐反射がひどく義歯がつけられない] 臼歯部インプラント補綴 の治療後](https://seimitsushinbi.jp/wp/wp-content/uploads/2020/03/27f48952c3f36e797e751ba818028a44-1-500x350.jpg?v=1585390198)
![[嘔吐反射がひどく義歯がつけられない] 臼歯部インプラント補綴 の治療前](https://seimitsushinbi.jp/wp/wp-content/uploads/2020/03/P4.1.jpg?v=1585390199)
![[嘔吐反射がひどく義歯がつけられない] 臼歯部インプラント補綴 の治療中](https://seimitsushinbi.jp/wp/wp-content/uploads/2020/03/IMG_9888-500x350.jpg?v=1585390262)
![[嘔吐反射がひどく義歯がつけられない] 臼歯部インプラント補綴 の治療後](https://seimitsushinbi.jp/wp/wp-content/uploads/2020/03/CI37-500x350.jpg?v=1585390199)
![[嘔吐反射がひどく義歯がつけられない] 臼歯部インプラント補綴 の治療前](https://seimitsushinbi.jp/wp/wp-content/uploads/2020/03/0c13e6bcb358bce15953d09253f8f17d-500x350.jpg?v=1585390203)
![[嘔吐反射がひどく義歯がつけられない] 臼歯部インプラント補綴 の治療後](https://seimitsushinbi.jp/wp/wp-content/uploads/2020/03/816aeec6b74c640cc17d7a33e4f34283-500x350.jpg?v=1585390191)
![[嘔吐反射がひどく義歯がつけられない] 臼歯部インプラント補綴 の治療前](https://seimitsushinbi.jp/wp/wp-content/uploads/2020/03/e5a437a5069dbe74d164484f5c2a26fa-500x350.jpg?v=1585390184)
![[嘔吐反射がひどく義歯がつけられない] 臼歯部インプラント補綴 の治療後](https://seimitsushinbi.jp/wp/wp-content/uploads/2020/03/0b4b7bd7762bf86dc571f80aac88a8c1-500x350.jpg?v=1585390194)
![[ 歯の破折 ] 取れない違和感 歯の破折をインプラント治療で改善](https://seimitsushinbi.jp/wp/wp-content/uploads/2024/08/ec383f85915203db57bea11e6602d506-500x350.jpg?v=1724399330) 
                  ![[ 不適合な補綴物による虫歯の再発 ]  劣化の進んだブリッジの再治療](https://seimitsushinbi.jp/wp/wp-content/uploads/2025/10/61137617dd98660d6ef2580688e29f4f-500x350.jpg?v=1761121370) 
                   
                  