症例詳細
Case detail
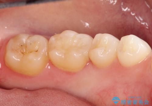
詰め物が外れた セラミックによる精密な修復
治療症例の内容
- 診療科目
- 治療カテゴリ
- 担当医
- 患者様
- 20代女性
- 治療期間
- 1ヶ月
- 治療回数
- 2-5回
- 治療計画
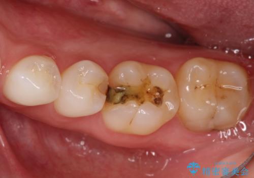
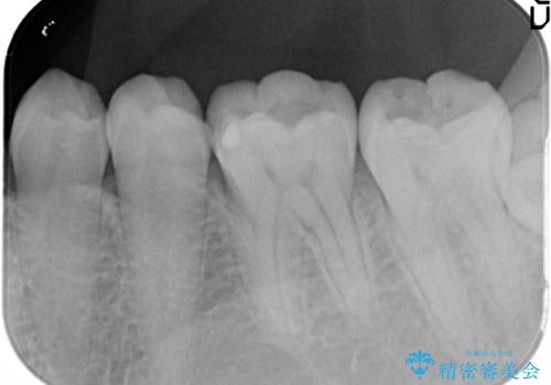
- 金属の詰め物がはずれてしまったので、精度の良いセラミックをいれたいのとのこと来院されました。
セラミックインレーにて治療することとなりました。
- 費用(概算)
- 約7万円費用は治療当時の料金となります
治療について
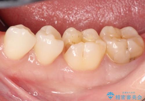
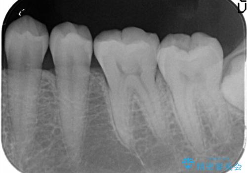
拡大鏡を使用して精度の高いインレーを装着しました。
セラミック治療の注意事項(リスク・副作用など)
- 天然歯を削ります
- 硬い素材は天然歯を傷つけてしまう場合があります
- かみ合わせや歯ぎしりが強すぎる方はセラミックが割れてしまう可能性があります
- 自費診療(保険適用外治療)となります
当サイトの内容、テキスト、画像等の無断転載、複製、複写、盗用を固く禁じます。











