症例詳細
Case detail
オールセラミッククラウン 欠損補綴と再生療法による深いポケットの改善
治療症例の内容
- 担当医
- 患者様
- 60代女性
- 治療期間
- 1年
- 治療回数
- 5-10回
- 治療計画
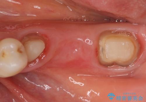
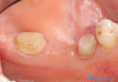
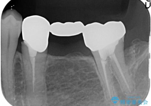
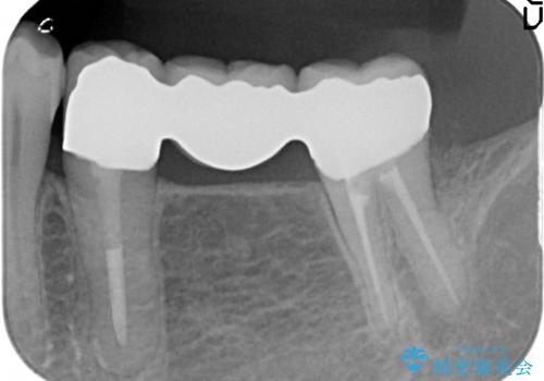
- 他院にて左下奥歯のポケットが深いと言われた、銀歯と歯茎の隙間も気になるのでまとめて治療して欲しいと来院された方の症例です。
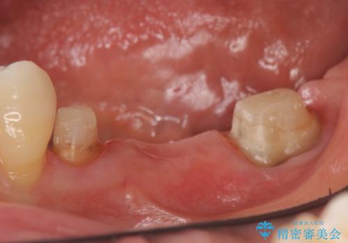
 左下7の遠心部は部分的な骨欠損によるポケットが10mmあったため、再生療法による骨の再生を行いました。
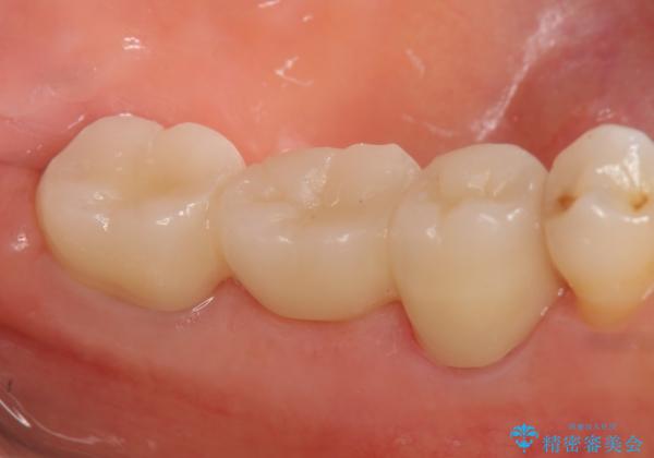
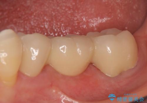
 骨の定着を待ちポケットが3mm(正常範囲内)であることを確認後、オールセラミッククラウンによる欠損補綴を行いました。
- 費用(概算)
- オールセラミッククラウン…¥100,000×3、仮歯…¥10,000×3、ファイバーコア…¥20,000×2、再生療法…¥100,000費用は治療当時の料金となります
オールセラミッククラウンについて
今回用いたオールセラミッククラウンはジルコニアフレームという白い素材の上にセラミックを盛っているため、審美性が非常に高いのが特徴です。
また、ジルコニアは人工ダイヤモンドの材料にも使われているほど高い強度を持っており、そのためオールセラミッククラウンは審美性だけでなく、奥歯やブリッジの補綴も可能とするクラウンです。
再生療法について
再生療法とは歯槽骨の欠損部位を人工骨で補うことにより骨を再生させる手術です。
この手術を行うことで、歯周基本治療では治癒しない歯周病を改善したり、本来ならば抜歯しなければならない歯を保存することができます。
※再生療法は適応症例が限られます。
歯周病治療の注意事項(リスク・副作用など)
- 外科手術のため、術後に痛みや腫れ、違和感を伴います
- 歯周組織再生治療は患者様の状態によって術後の経過が異なります(見た目が改善しない場合もあります)
- 歯周組織再生治療は自費診療(保険適用外)となります
根管治療の注意事項(リスク・副作用など)
- 根管治療により類似の全ての症例の問題が解決するわけではなく、症例はあくまでも一例です
- 根管治療により痛みや腫れがひかない事や、術後に痛みや腫れが生じる事、治療によるファイル破折やパーフォレーションなどの偶発症、術後の歯根破折を生じる可能性もあります
- 自費診療(保険適用外)となります
セラミック治療の注意事項(リスク・副作用など)
- 天然歯を削ります
- 硬い素材は天然歯を傷つけてしまう場合があります
- かみ合わせや歯ぎしりが強すぎる方はセラミックが割れてしまう可能性があります
- 自費診療(保険適用外治療)となります
当サイトの内容、テキスト、画像等の無断転載、複製、複写、盗用を固く禁じます。








 
                       
                                                          
















 
                   
                   
                  