症例詳細
Case detail
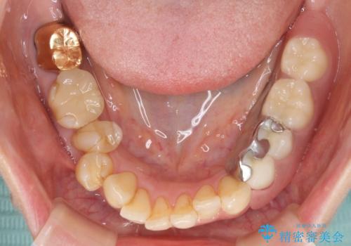
ノンクラスプデンチャー(金属止め具のない入れ歯)で左側の咬合回復
治療症例の内容
- 診療科目
- 担当医
- 患者様
- 50代女性
- 治療期間
- 7ヶ月
- 治療回数
- 5-10回
- 治療計画
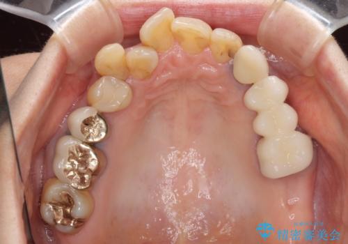
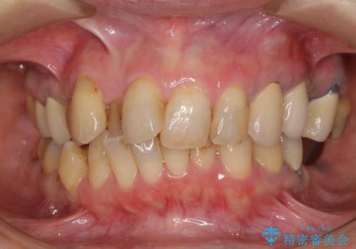
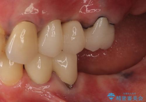
- 奥歯が痛いことを主訴にご来院された患者様です。入院してしまい、治療を2年間放置してしまったとのことでした。
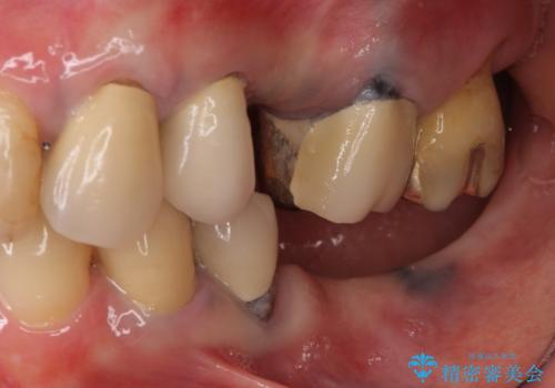
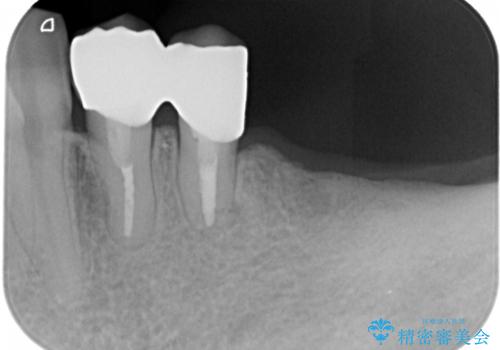
左上は、抜歯とブリッジ治療を行いました(抜歯前に医師と対診)。
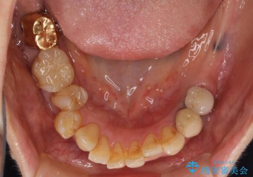
左下は、現在も抗がん治療を続けているため、観血的処置(インプラントなどの外科)はなるべく避けたいとのことで入れ歯を希望されました。それに伴い、入れ歯を支える歯のクラウンやりかえも行いました。
- 費用(概算)
- 80万円費用は治療当時の料金となります
治療詳細
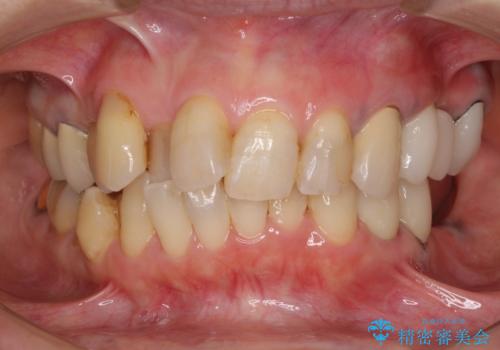
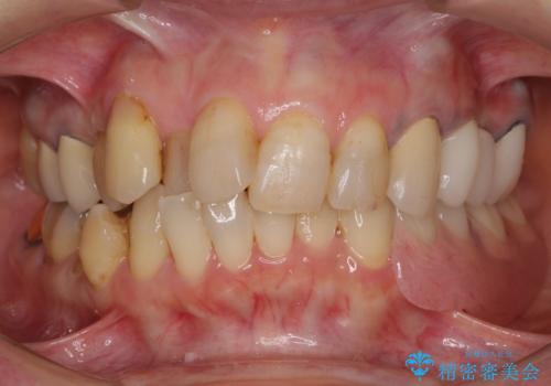
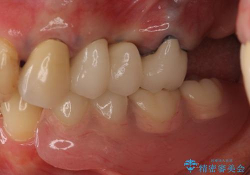
患者様はインプラント等の外科処置は希望されなかったため、セラミックと義歯で治療を行いました。
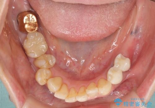
義歯を製作する際は、支えとなる歯の治療も同時に行うことで、義歯の製作が容易になります。
今回もそのように製作したところ、適合がよく安定のよい義歯になりました。患者様本人も使っていて全く痛くないとのことで、追加の調整もなく使用して頂いてます。患者様には、大変満足して頂きました。
入れ歯の注意事項(リスク・副作用など)
- ブリッジやインプラントと比較して、色が合いづらい、見た目の違和感があります
- ブリッジやインプラントと比較して、話しにくい、舌が当たる等の違和感があります
- 慣れるまで微調整で何度か通って頂くことがあります
- 就寝時や食後に毎回取り外して、清掃する必要があります
- 自費診療(保険適用外)となります
当サイトの内容、テキスト、画像等の無断転載、複製、複写、盗用を固く禁じます。




















