症例詳細
Case detail
セラミックインレーやりかえ 虫歯の除去をしっかりと
治療症例の内容
- 診療科目
- 治療カテゴリ
- 担当医
- 患者様
- 20代男性
- 治療期間
- 1ヶ月
- 治療回数
- 2-5回
- 治療計画
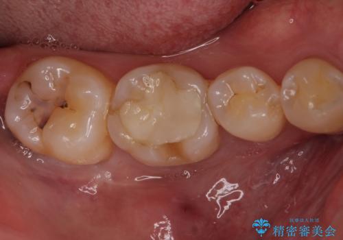
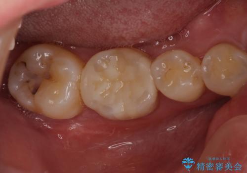
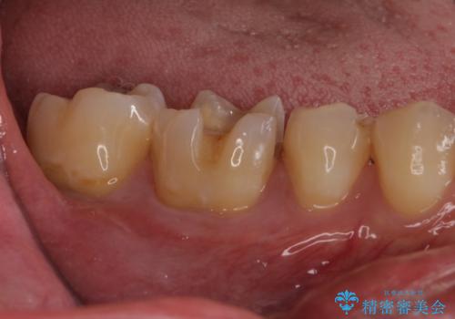
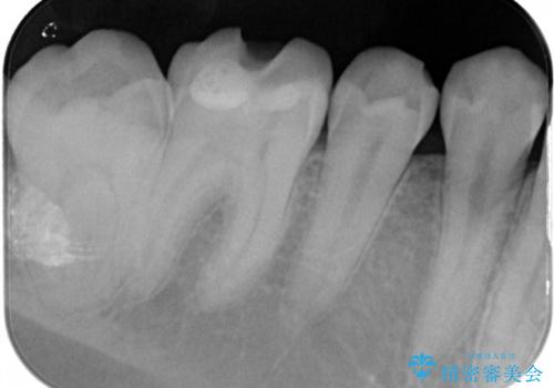
- 他院で行った、古いセラミックが欠けたとのことでご来院された患者様です。
古いセラミックを外すと、無数のヒビが入っており、そこからできた新しい虫歯がありました。
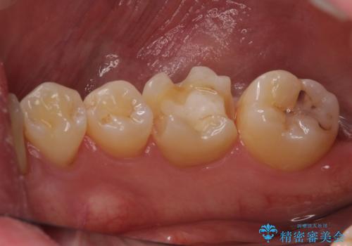
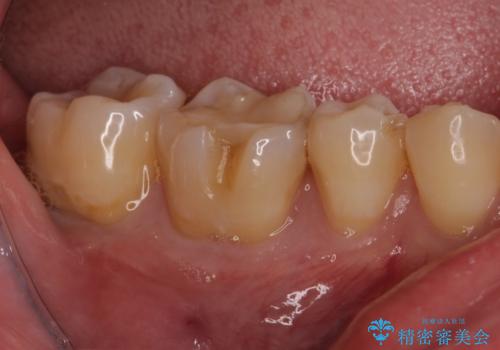
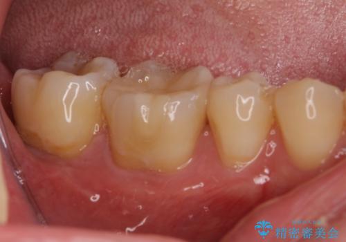
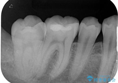
古い材料も虫歯もすべて除去して、根本からやりかえました。
- 費用(概算)
- 7万円費用は治療当時の料金となります
治療詳細
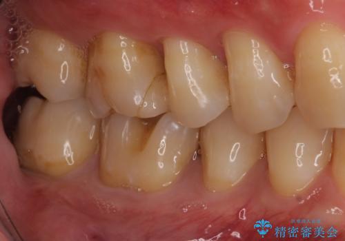
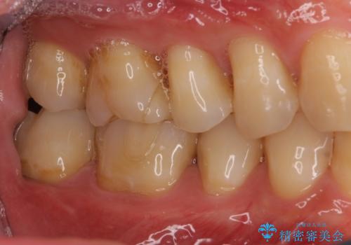
セラミックが欠けるほど強い力がかかっているということは、ご自身の歯も割れている(小さいヒビ等も含む)可能性があります。拡大鏡でしっかり見ながら治療します。
咬む力が強いため、このままでは何度もセラミックとご自身の歯を割る可能性就寝時マウスピースの使用をご提案しました。患者様には、大変満足して頂きました。
セラミック治療の注意事項(リスク・副作用など)
- 天然歯を削ります
- 硬い素材は天然歯を傷つけてしまう場合があります
- かみ合わせや歯ぎしりが強すぎる方はセラミックが割れてしまう可能性があります
- 自費診療(保険適用外治療)となります
当サイトの内容、テキスト、画像等の無断転載、複製、複写、盗用を固く禁じます。












