症例詳細
Case detail
適合不良の銀のつめもの 保険と自費で白く
治療症例の内容
- 診療科目
- 治療カテゴリ
- 担当医
- 患者様
- 30代男性
- 治療期間
- 1ヶ月
- 治療回数
- 2-5回
- 治療計画
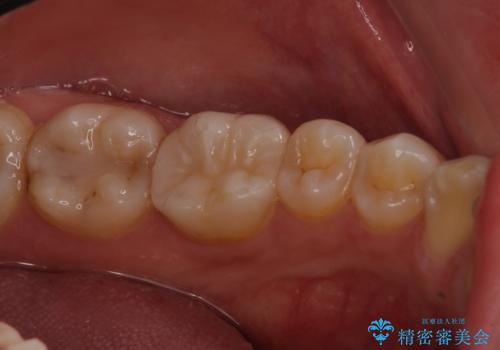
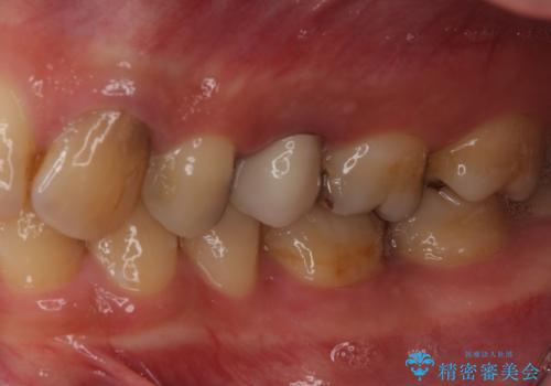
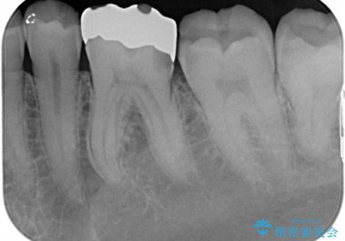
- 左下奥歯の銀歯のつめものがとれたことを主訴にご来院された患者様です。
1番奥の歯のセラミック治療をご希望されましたが、レントゲンなどの診査の結果、大きな虫歯などもありませんでした。
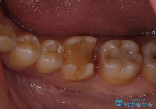
それよりも奥から2番目の歯のほうが、適合不良の銀のつめものが入っており、大きな虫歯が疑われました。
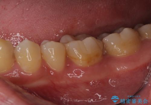
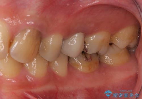
虫歯の大きさや形を加味して、1番奥を保険治療、奥から2番目をセラミック治療で行うことになりました。
- 費用(概算)
- 7万円費用は治療当時の料金となります
治療詳細
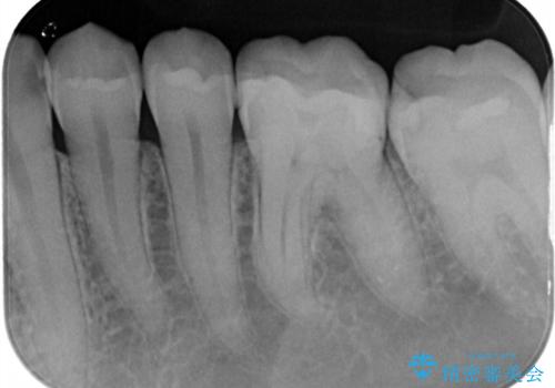
ご来院当初、患者様は1番奥歯のセラミック治療をご希望されてました。しかし、しっかり診査をして1本手前の歯を治療した方が良いとご提案させて頂きました。
また、奥歯が虫歯になりやすい原因として夜間の歯ぎしりで、歯に小さいヒビが入っている疑いがありました。就寝時マウスピースを使用して予防して頂くこともご提案し、患者様には大変満足して頂きました。
セラミック治療の注意事項(リスク・副作用など)
- 天然歯を削ります
- 硬い素材は天然歯を傷つけてしまう場合があります
- かみ合わせや歯ぎしりが強すぎる方はセラミックが割れてしまう可能性があります
- 自費診療(保険適用外治療)となります
当サイトの内容、テキスト、画像等の無断転載、複製、複写、盗用を固く禁じます。











