症例詳細
Case detail
ソケットリフトを伴うインプラント補綴
治療症例の内容
- 担当医
- 大元洋佑(ドクタープロフィール)
- 患者様
- 30代男性
- 治療期間
- 8ヶ月
- 治療回数
- 5-10回
- 治療計画
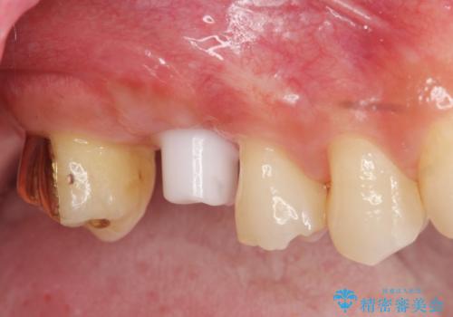
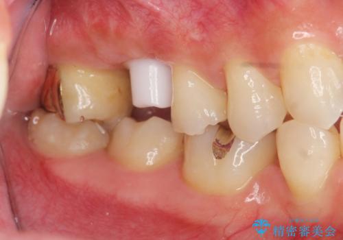
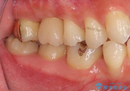
- 右上の歯を喪失し機能回復を希望され来院されました。
骨量が不十分であった為、ソケットリフトを併用しインプラントによる補綴計画を立てます。
- 費用(概算)
- 50万円(ストローマンインプラント・ソケットリフト・ジルコニアカスタムアバットメント・ジルコニアクラウン)費用は治療当時の料金となります
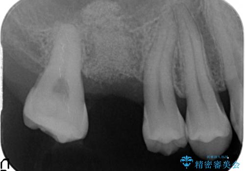
ソケットリフトについて
上顎のインプラントは、上顎洞底までの距離が短い場合ソケットリフト法を行い骨量を増やしたのちにインプラント埋入を行うことでより長期的な予後を見込むことができます。
インプラント治療の注意事項(リスク・副作用など)
- 外科手術のため、術後に痛みや腫れ、違和感を伴います
- メンテナンスを怠ったり喫煙により、お口の中に大きな悪影響を及ぼすインプラント周囲炎等にかかる可能性があります
- 糖尿病、肝硬変、心臓病等の場合、インプラント治療ができない可能性があります
- 高血圧、貧血・不整脈等の場合、インプラント治療後に治癒不全を招く可能性があります
- 自費診療(保険適用外治療)となります
当サイトの内容、テキスト、画像等の無断転載、複製、複写、盗用を固く禁じます。












