症例詳細
Case detail
磨きにくい奥歯のインプラント周り 歯肉移植(FGG)による角化歯肉の獲得
治療症例の内容
- 担当医
- 藤巻太一朗(ドクタープロフィール)
- 患者様
- 40代女性
- 治療期間
- 6ヶ月
- 治療回数
- 5-10回
- 治療計画
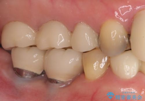
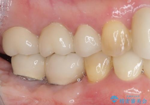
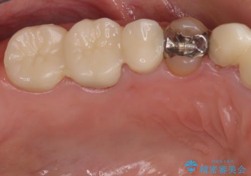
- 右下奥歯に入っているインプラント補綴周りの歯磨きが難しいとのことで、歯肉の改善を希望して来院された患者様です。
角化歯肉(歯ブラシが当たっても痛くない、比較的固い歯茎)が不足しているため、上顎口蓋より歯肉を切り取り、移植することで角化歯肉を獲得することとしました。
- 費用(概算)
- 治療費の目安: 15万円費用は治療当時の料金となります
治療について
セラミッククラウンと歯肉の間に金属が見えていることも気になっており、金属部分の被覆改善も期待して歯肉移植を行いました。
歯周病治療の注意事項(リスク・副作用など)
- 外科手術のため、術後に痛みや腫れ、違和感を伴います
- 歯周組織再生治療は患者様の状態によって術後の経過が異なります(見た目が改善しない場合もあります)
- 歯周組織再生治療は自費診療(保険適用外)となります
当サイトの内容、テキスト、画像等の無断転載、複製、複写、盗用を固く禁じます。









