症例詳細
Case detail
セラミックインレー 銀歯の下の縁下カリエス(歯茎より深い虫歯)の治療
治療症例の内容
- 診療科目
- 治療カテゴリ
- 担当医
- 患者様
- 30代女性
- 治療期間
- 7ヶ月
- 治療回数
- 5-10回
- 治療計画
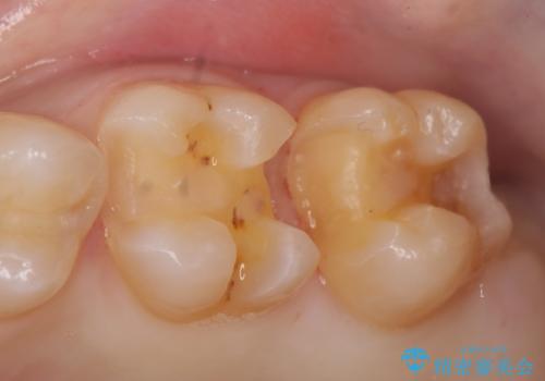
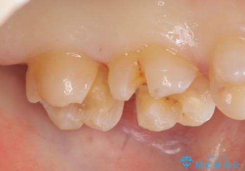
- 左上奥歯がしみるといらっしゃった方の症例です。
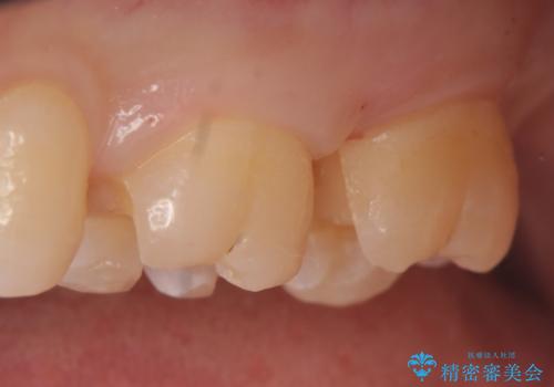
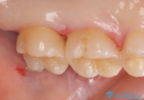
左上7近心の虫歯は歯茎より深く、歯茎を下げるため歯周外科を行いました。
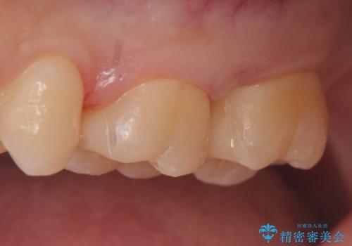
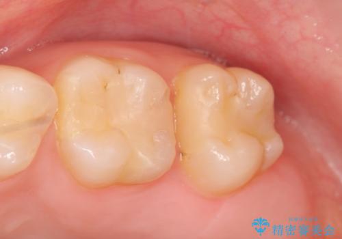
術後歯肉の回復を待ち、左下6、7ともにセラミックインレーによる修復を行いました。
- 費用(概算)
- セラミックインレー…¥70,000×2、歯周外科…¥100,000費用は治療当時の料金となります
セラミックインレーについて
当院のセラミックインレーはemaxという強度と審美性に優れた材料を使用しています。
またプレス方式でインレーを製作しているため、削り出しで製作するCADCAMより優れた適合性も持ち合わせており、虫歯が再発しにくい修復物です。
歯茎より深い虫歯の治療について
虫歯が進み歯茎より深くなってしまうと、虫歯を取り残してしまうリスク、樹脂の硬化の妨げ、補綴物の不適合、歯肉炎・歯周病のリスクの増大等様々な弊害が起こり得ます。
そのため当院では歯周外科手術(歯茎を下げる手術)や歯の挺出による、虫歯が歯茎より深いという問題の解決を推奨しております。
セラミック治療の注意事項(リスク・副作用など)
- 天然歯を削ります
- 硬い素材は天然歯を傷つけてしまう場合があります
- かみ合わせや歯ぎしりが強すぎる方はセラミックが割れてしまう可能性があります
- 自費診療(保険適用外治療)となります
当サイトの内容、テキスト、画像等の無断転載、複製、複写、盗用を固く禁じます。















