症例詳細
Case detail
歯周初期治療の重要性
治療症例の内容
- 診療科目
 
- 治療カテゴリ
 
- 担当医
 - 大元洋佑(ドクタープロフィール)
 
- 患者様
 - 20代女性
 
- 治療期間
 - 1日
 
- 治療回数
 - 1回
 
- 治療計画
 - 矯正治療を相談で来院されました。
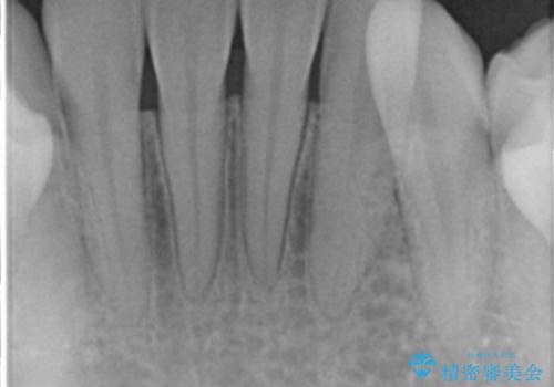
矯正治療を行う前には、虫歯や歯周病の問題を解決しておかないと矯正治療を行なっている最中や治療後に大きな問題となって返ってこないよう治療前に問題を解決しておくことが重要です。 
- 費用(概算)
 - 保険治療費用は治療当時の料金となります
 
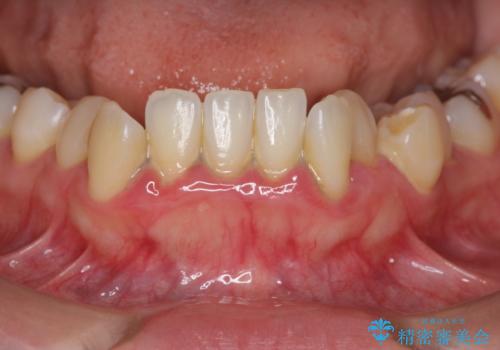
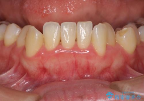
歯周初期治療について
初診時、下顎前歯にびっしりとついていた歯石を除去することで歯肉の発赤・腫脹は治まり健康な状態になることができました。
歯周病治療の注意事項(リスク・副作用など)
- 外科手術のため、術後に痛みや腫れ、違和感を伴います
 - 歯周組織再生治療は患者様の状態によって術後の経過が異なります(見た目が改善しない場合もあります)
 - 歯周組織再生治療は自費診療(保険適用外)となります
 
当サイトの内容、テキスト、画像等の無断転載、複製、複写、盗用を固く禁じます。

                      
                                                          


