症例詳細
Case detail
不適合ブリッジの除去 インプラントによる咬合再構成
治療症例の内容
- 担当医
- 大元洋佑(ドクタープロフィール)
- 患者様
- 50代男性
- 治療期間
- 7ヶ月
- 治療回数
- 5-10回
- 治療計画
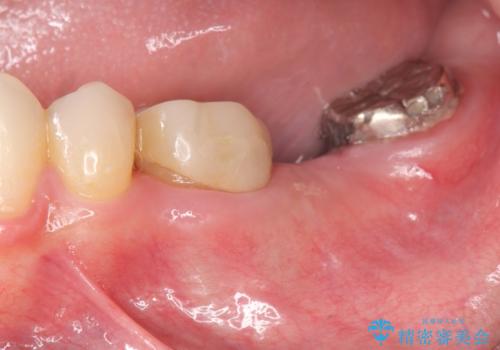
- 保険治療を繰り返し、口腔内全体の長期的な予後に不安があり全体的な治療を希望され来院されました。
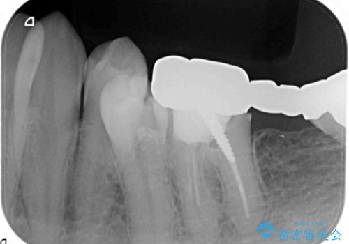
左下には親知らずを支台とした設計に無理のあるブリッジが装着されており、根管治療も不十分な状態です。
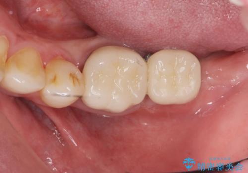
清掃性の悪いブリッジ・親知らずを除去し再根管治療・インプラントを含めた咬合再構成の計画を立てます。
- 費用(概算)
- 50万円(ストローマンインプラント・骨造成・チタンカスタムアバットメント・メタルボンド×2)費用は治療当時の料金となります
補綴物について
設計に無理のある補綴(今回は親知らずを用いたブリッジ)は、プラークの堆積を起こしやすく虫歯や歯周病などのちに大きな問題を起こす原因となりえます。
掃除のしやすい環境を整えることで咬合機能・清掃性を改善することができます。
インプラント治療の注意事項(リスク・副作用など)
- 外科手術のため、術後に痛みや腫れ、違和感を伴います
- メンテナンスを怠ったり喫煙により、お口の中に大きな悪影響を及ぼすインプラント周囲炎等にかかる可能性があります
- 糖尿病、肝硬変、心臓病等の場合、インプラント治療ができない可能性があります
- 高血圧、貧血・不整脈等の場合、インプラント治療後に治癒不全を招く可能性があります
- 自費診療(保険適用外治療)となります
当サイトの内容、テキスト、画像等の無断転載、複製、複写、盗用を固く禁じます。













