症例詳細
Case detail
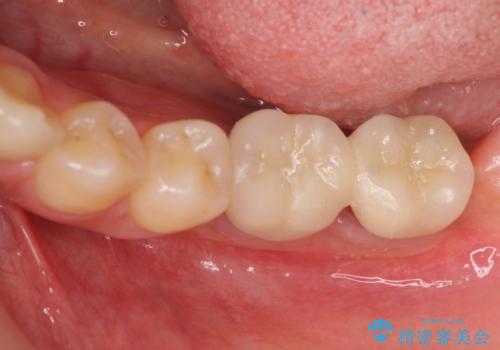
臼歯の噛み合わせをインプラントを用いて回復する
治療症例の内容
- 診療科目
- 治療カテゴリ
- 担当医
- 大元洋佑(ドクタープロフィール)
- 患者様
- 20代女性
- 治療期間
- 8ヶ月
- 治療回数
- 5-10回
- 治療計画
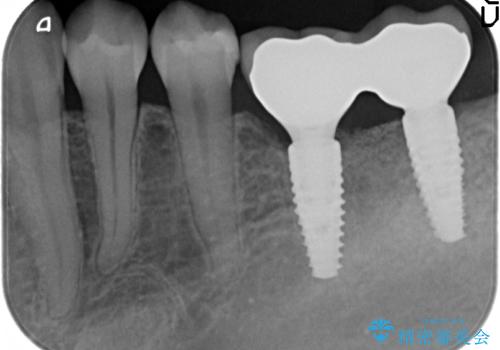
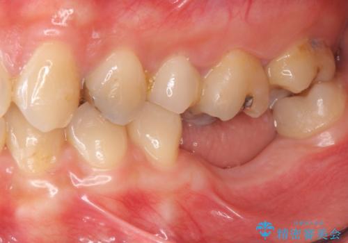
- 他院で抜歯後放置してしまった左下の奥歯の機能・見た目の回復を希望され来院されました。
放置したことによる影響か骨が吸収し、インプラント周囲に十分な骨が確保できないような状況であったため骨造成を併用したインプラント治療を計画します。
- 費用(概算)
- 90万円(ストローマンインプラント・骨造成・チタンカスタムアバットメント・ジルコニアクラウン×2)費用は治療当時の料金となります
インプラント治療について
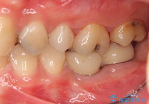
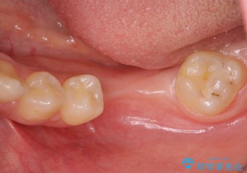
インプラントを用いて機能回復を行うことで、奥歯がしっかりと噛めるようになります。
周囲に骨があることでより長期的な予後を見込むことができます。
インプラント治療の注意事項(リスク・副作用など)
- 外科手術のため、術後に痛みや腫れ、違和感を伴います
- メンテナンスを怠ったり喫煙により、お口の中に大きな悪影響を及ぼすインプラント周囲炎等にかかる可能性があります
- 糖尿病、肝硬変、心臓病等の場合、インプラント治療ができない可能性があります
- 高血圧、貧血・不整脈等の場合、インプラント治療後に治癒不全を招く可能性があります
- 自費診療(保険適用外治療)となります
当サイトの内容、テキスト、画像等の無断転載、複製、複写、盗用を固く禁じます。


















