症例詳細
Case detail
奥歯の欠損 インプラントによる咬合機能回復
治療症例の内容
- 担当医
- 大元洋佑(ドクタープロフィール)
- 患者様
- 50代男性
- 治療期間
- 8ヶ月
- 治療回数
- 5-10回
- 治療計画
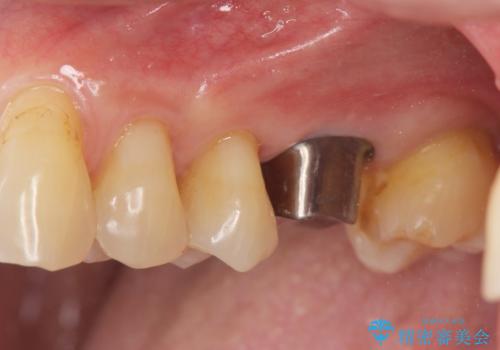
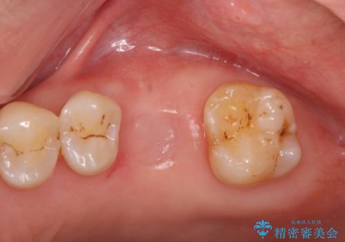
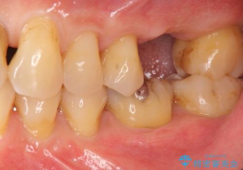
- 奥歯を失い噛めないことの治療を希望され来院されました。
臨在する歯が虫歯もなく健全であるため、ブリッジではなくインプラントを用いた機能回復を計画します。
- 費用(概算)
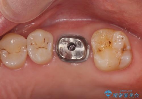
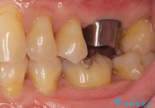
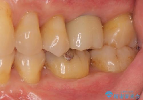
- 50万円(ストローマンインプラント・骨造成・チタンカスタムアバットメント・ジルコニアクラウン)費用は治療当時の料金となります
インプラント治療について
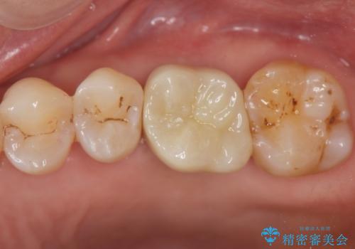
インプラントを用いることで、隣の歯を削ることなくしっかりと噛む機能を回復させることができます。
セラミック治療の注意事項(リスク・副作用など)
- 天然歯を削ります
- 硬い素材は天然歯を傷つけてしまう場合があります
- かみ合わせや歯ぎしりが強すぎる方はセラミックが割れてしまう可能性があります
- 自費診療(保険適用外治療)となります
インプラント治療の注意事項(リスク・副作用など)
- 外科手術のため、術後に痛みや腫れ、違和感を伴います
- メンテナンスを怠ったり喫煙により、お口の中に大きな悪影響を及ぼすインプラント周囲炎等にかかる可能性があります
- 糖尿病、肝硬変、心臓病等の場合、インプラント治療ができない可能性があります
- 高血圧、貧血・不整脈等の場合、インプラント治療後に治癒不全を招く可能性があります
- 自費診療(保険適用外治療)となります
当サイトの内容、テキスト、画像等の無断転載、複製、複写、盗用を固く禁じます。












