症例詳細
Case detail
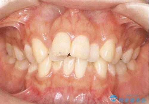
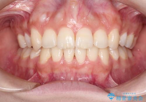
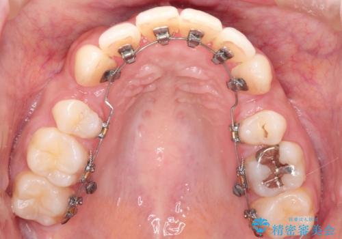
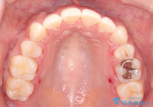
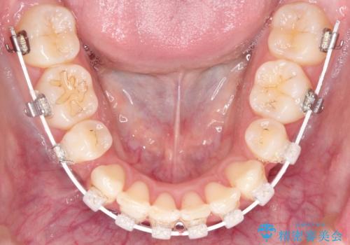
前歯のガタガタと出っ歯が気になる ハーフリンガルによる抜歯矯正
治療症例の内容
- 診療科目
- 担当医
- 患者様
- 20代女性
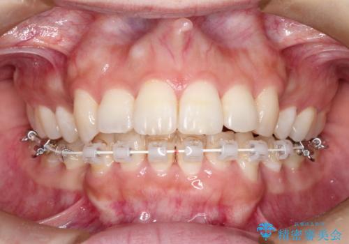
- 矯正装置
- ハーフリンガル
- 治療期間
- 2年4ヶ月
- 治療回数
- 10-30回
- 治療計画
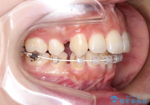
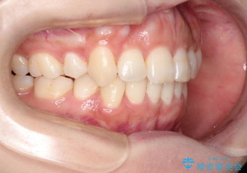
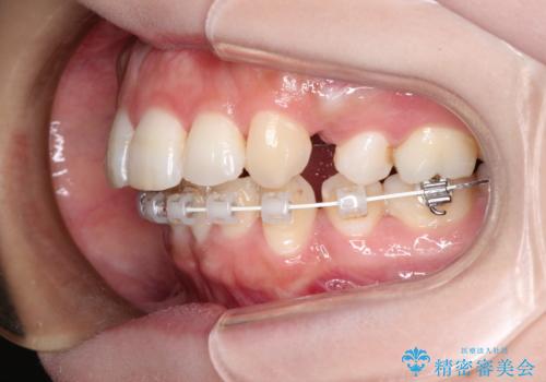
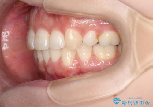
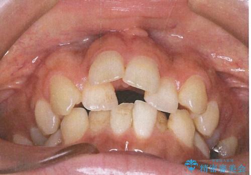
- 前歯のガタガタと出っ歯をなおしたいとのことで来院されました。
なるべく目立たないようにして、矯正治療をしたいとのことで、ハーフリンガルで上下左右で1本ずつ合計4本を抜歯をして並べる計画としました。
- 費用(概算)
- 約110万円費用は治療当時の料金となります
治療について
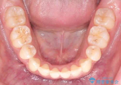
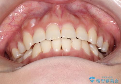
ガタガタが重度の方は抜歯が必要となることが多いです。
抜歯スペースを使って前歯を引っ込めることにより、出っ歯感も改善することができました。
ワイヤー矯正の注意事項(リスク・副作用など)
- 治療中は違和感や痛みが起こることがあります
- 症状により、抜歯が必要な場合があります
- 治療中は歯磨きがしにくくなるため、虫歯や歯周病になりやすくなります
- 矯正治療後の保定が不十分だと後戻り(元の位置に戻ろうとする動き)をします
- 自費診療(保険適用外)となります
当サイトの内容、テキスト、画像等の無断転載、複製、複写、盗用を固く禁じます。

















