症例詳細
Case detail
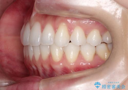
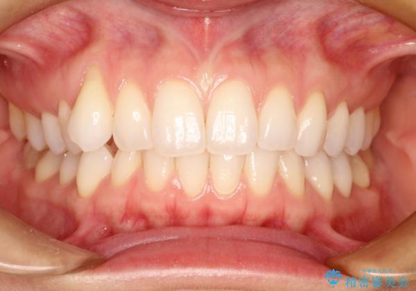
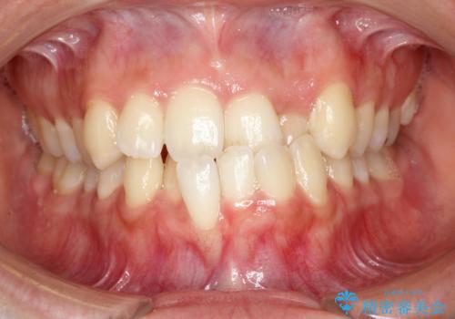
八重歯をマウスピース矯正で治療し、レーザーホワイトニングを行った症例
治療症例の内容
- 診療科目
- 治療カテゴリ
- 担当医
- 奥村高広(ドクタープロフィール)
- 患者様
- 30代女性
- 矯正装置
- インビザライン
- 治療期間
- 1年6ヶ月
- 治療回数
- 10-30回
- 治療計画
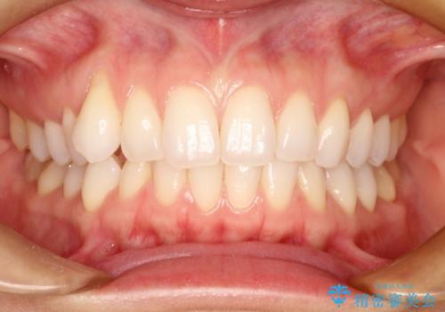
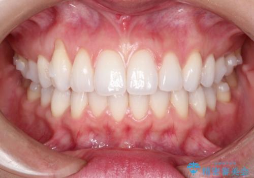
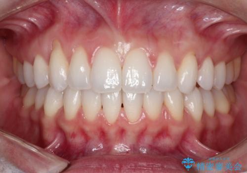
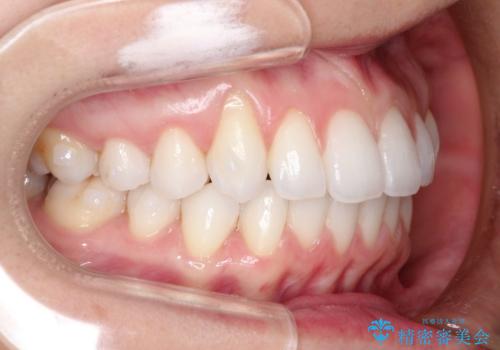
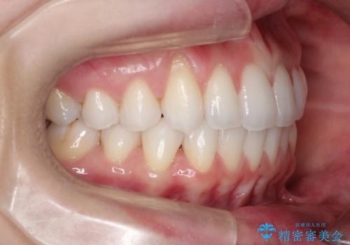
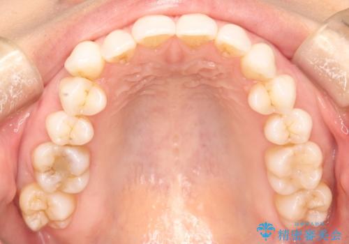
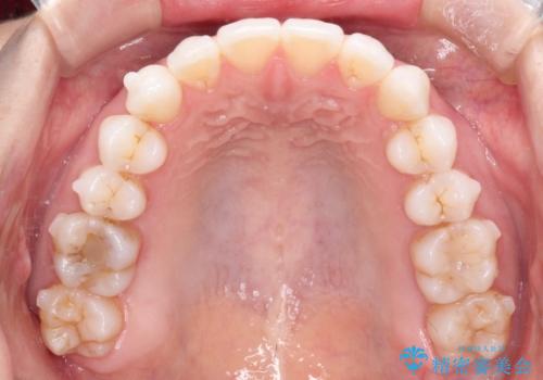
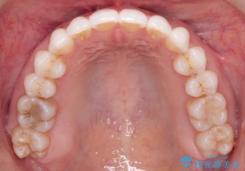
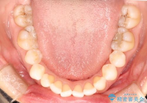
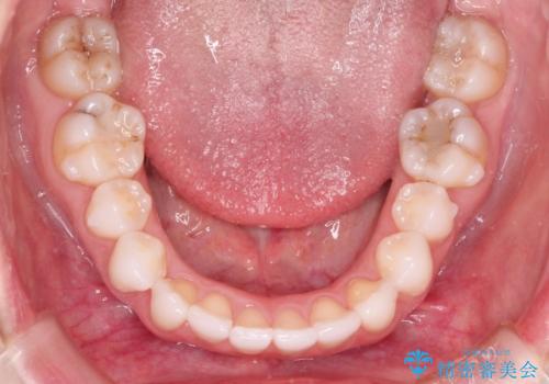
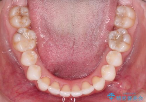
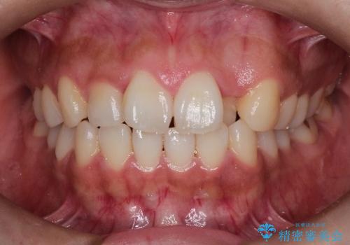
- 主訴:「右上犬歯を引っ込めて、歯並びをキレイにしたい」
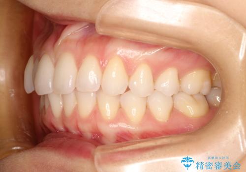
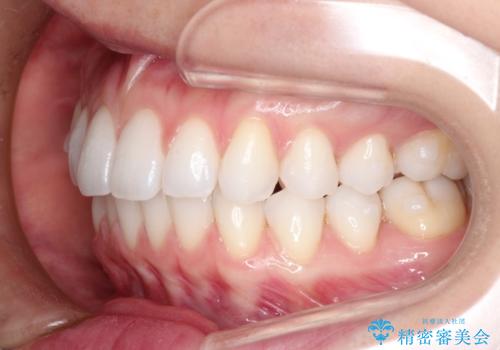
右上の八重歯を気にされてご来院されました。結婚式を控えていたため挙式にまでに可能な限りキレイにしたいとのことでした。
また、ホワイトニングも一緒にご希望されたため、挙式のタイミングに合わせてレーザーホワイトニングを施術させていただきました。
- 費用(概算)
- 80万円費用は治療当時の料金となります
インビザライン中のホワイトニングについて
基本的に矯正中であってもホワイトニング自体は施術可能です。
マウスピース矯正用のマウスピースは、ご自宅で行うホームホワイトニング用のトレーとしてご利用いただくことができます。
※インビザライン治療の場合ホワイトニングを行う前歯にアタッチメントと呼ばれるポッチを歯の表面に付けることがあるため、アタッチメントがついた状態でホワイトニングを行うことはオススメしておりません。
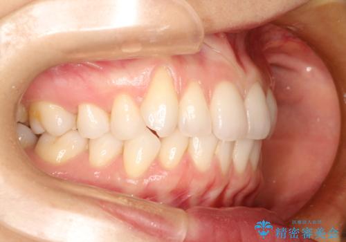
犬歯の歯茎の退縮について
右上の犬歯の歯茎は矯正前から退縮を起こしていましたが、矯正後もその退縮に関しては変化がありませんでした。今回は患者様が歯肉退縮に関しては治療をご希望ではありませんでしたが、当院ではこのように歯茎が下がり露出した根面を、歯茎を移植することでカバーし見た目を改善する手術を行っています。
マウスピース矯正の注意事項(リスク・副作用など)
- 口腔内・歯並びの状態によっては対応できない場合があります
- マウスピース型矯正装置の長時間装着(1日20時間以上)が必須です
- 治療計画通りに進めるためには、患者様の意志が重要になります
- 矯正治療後の保定が不十分だと後戻り(元の位置に戻ろうとする動き)をします
- 薬機法対象外の矯正歯科装置のため医薬品副作用被害救済制度の対象外となる場合があります
- 自費診療(保険適用外)となります
当サイトの内容、テキスト、画像等の無断転載、複製、複写、盗用を固く禁じます。

















