症例詳細
Case detail
米国で笑われた 保険のつめものをやり直す
治療症例の内容
- 診療科目
- 治療カテゴリ
- 担当医
- 患者様
- 30代男性
- 治療期間
- 1ヶ月
- 治療回数
- 2-5回
- 治療計画
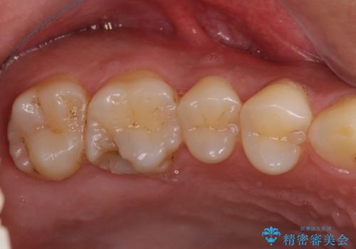
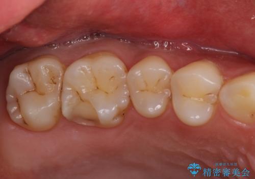
- つめものが欠けたことを主訴にご来院された患者様です。
以前、日本で保険治療をしていましたが、米国滞在中にとれて、仮の再治療をしました。その際に、中に虫歯が残っていると笑われたそうです。
今回は、自費治療にしたいと当院にご来院されました。
- 費用(概算)
- 7万円費用は治療当時の料金となります
治療詳細
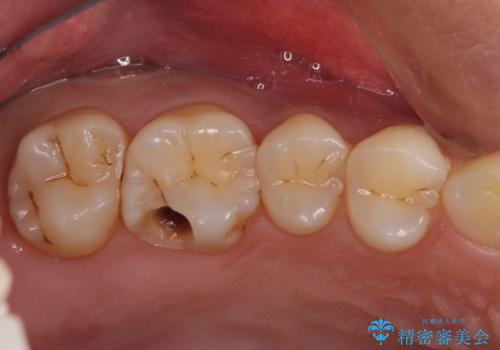
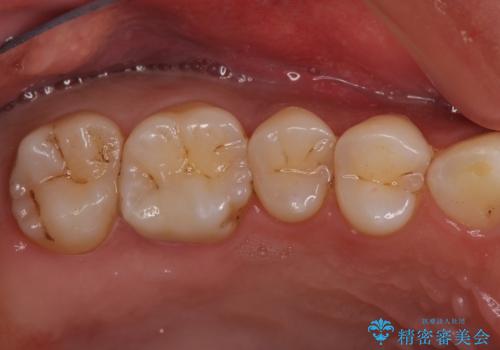
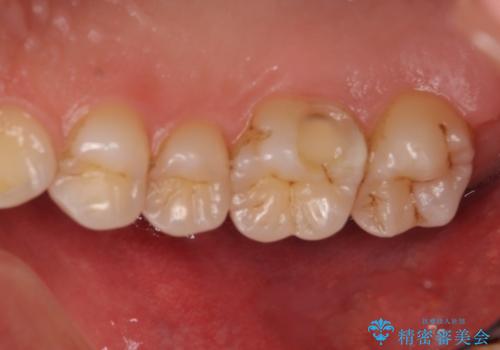
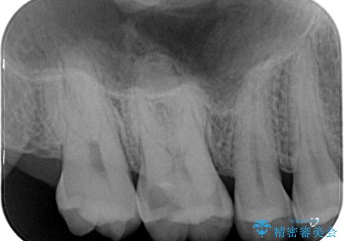
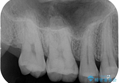
今回は虫歯が大きかったものの、ぎりぎり神経に達しておらず、セラミックインレー(つめもの)の治療のみで完了しました。初診時に虫歯を除去し、後日神経のテストをして正常反応を確認しました。
虫歯を徹底的に除去し、なおかつ神経に達しているかを慎重に判断するには、どうしても顕微鏡&長時間の診療が必要になりますが、保険外治療となります。
自分の歯や神経をなるべく残すには保険外治療をおすすめしています。
セラミック治療の注意事項(リスク・副作用など)
- 天然歯を削ります
- 硬い素材は天然歯を傷つけてしまう場合があります
- かみ合わせや歯ぎしりが強すぎる方はセラミックが割れてしまう可能性があります
- 自費診療(保険適用外治療)となります
当サイトの内容、テキスト、画像等の無断転載、複製、複写、盗用を固く禁じます。










