症例詳細
Case detail
一度治療した歯が虫歯に セラミックインレーで治療
治療症例の内容
- 診療科目
- 治療カテゴリ
- 担当医
- 患者様
- 20代女性
- 治療期間
- 1ヶ月
- 治療回数
- 2-5回
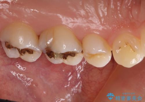
- 治療計画
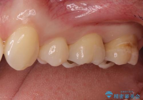
- 他院で虫歯になっていると指摘され来院されました。適合の良いゴールドインレーによる治療がされていましたが、違う部分が虫歯になってしまっていました。審美性の良いセラミックインレーを希望されました。
- 費用(概算)
- 7万円(セラミックインレー)費用は治療当時の料金となります
治療について
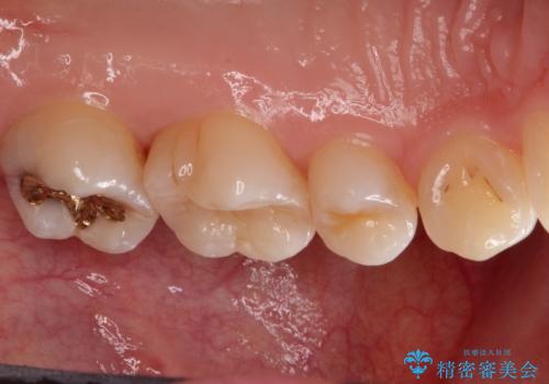
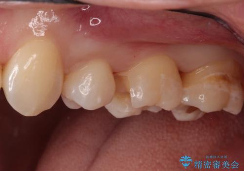
ゴールドインレーを除去し、その下で広がっていた虫歯をきれいに取り除きました。
一度治療した歯も再び虫歯になる可能性があるので、定期的なチェックが大切になります。
セラミック治療の注意事項(リスク・副作用など)
- 天然歯を削ります
- 硬い素材は天然歯を傷つけてしまう場合があります
- かみ合わせや歯ぎしりが強すぎる方はセラミックが割れてしまう可能性があります
- 自費診療(保険適用外治療)となります
当サイトの内容、テキスト、画像等の無断転載、複製、複写、盗用を固く禁じます。











