症例詳細
Case detail
奥歯が痛い。骨増生を併用したインプラント
治療症例の内容
- 診療科目
- 治療カテゴリ
- 担当医
- 河口智英(ドクタープロフィール)
- 患者様
- 40代男性
- 治療期間
- 1年
- 治療回数
- 5-10回
- 治療計画
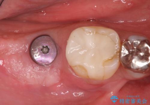
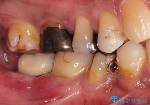
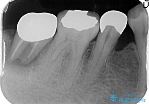
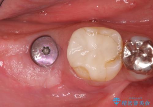
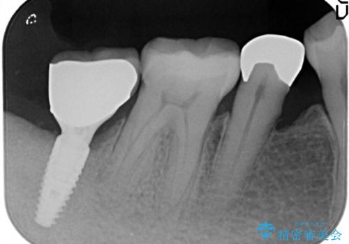
- 奥歯が痛いことを主訴に来院されました。
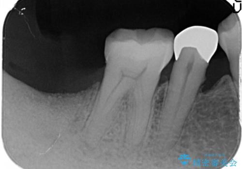
重度の歯周病により保存困難と診断し、抜歯後にインプラント治療を行いました。
抜歯後十分な骨の回復が認められず、単独の骨増生を行った後にインプラントを埋入しました。
- 費用(概算)
- 40万円費用は治療当時の料金となります
治療について
インプラント埋入時に骨が足りない場合にはインプラント埋入前に骨増生を行います。また、インプラント周囲の角化歯肉が不足した場合は角化歯肉の移植も行うことがあります。
どちらの治療もインプラントの長期予後を高めるために必要な治療です。
インプラント治療の注意事項(リスク・副作用など)
- 外科手術のため、術後に痛みや腫れ、違和感を伴います
- メンテナンスを怠ったり喫煙により、お口の中に大きな悪影響を及ぼすインプラント周囲炎等にかかる可能性があります
- 糖尿病、肝硬変、心臓病等の場合、インプラント治療ができない可能性があります
- 高血圧、貧血・不整脈等の場合、インプラント治療後に治癒不全を招く可能性があります
- 自費診療(保険適用外治療)となります
当サイトの内容、テキスト、画像等の無断転載、複製、複写、盗用を固く禁じます。






















