症例詳細
Case detail
歯を失い噛めない、インプラントによる咬合機能回復
治療症例の内容
- 診療科目
- 治療カテゴリ
- 担当医
- 大元洋佑(ドクタープロフィール)
- 患者様
- 60代女性
- 治療期間
- 8ヶ月
- 治療回数
- 5-10回
- 治療計画
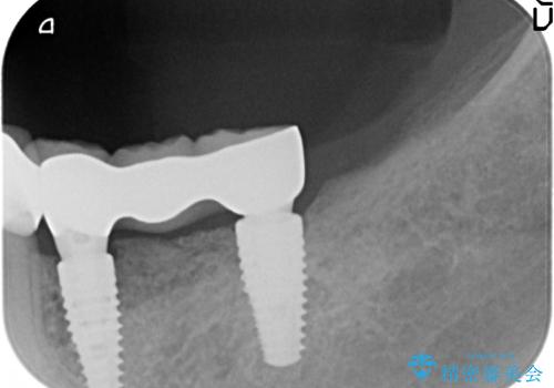
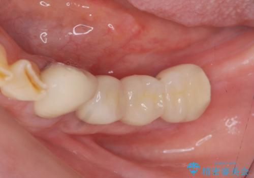
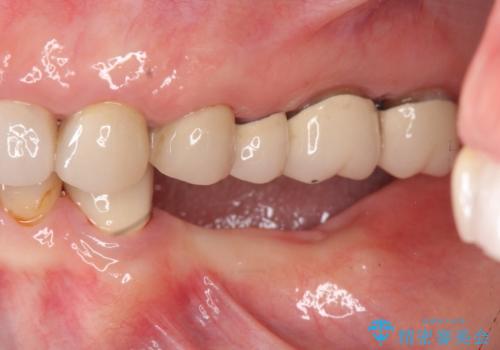
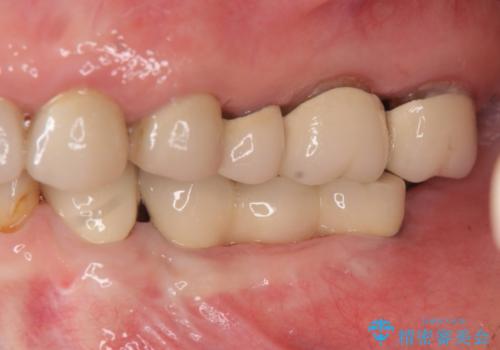
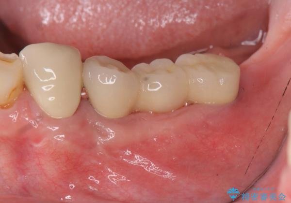
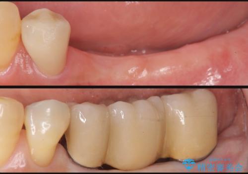
- 歯を失い噛むことができないことを悲観され来院されました。
他院で作製した入れ歯も嘔吐反射により気持ち悪くてはめていることができず、残存した右側の歯の負担は甚大です。
咬合機能を回復し、満足して食事を行えるようインプラント治療を計画します。
- 費用(概算)
- 80万円(インプラント×2・アバットメント×2・ジルコニアクラウン×3)費用は治療当時の料金となります
嘔吐反射が強い方の治療について
嘔吐反射が強い場合、気持ち悪くて入れ歯を装着していられない方もしばしばいらっしゃいます。
そのような場合、歯牙欠損状態の放置もしくはインプラント治療の選択になりますが残っている歯への負担も大きいためインプラント治療による咬合機能回復を推奨しております。
インプラント治療の注意事項(リスク・副作用など)
- 外科手術のため、術後に痛みや腫れ、違和感を伴います
- メンテナンスを怠ったり喫煙により、お口の中に大きな悪影響を及ぼすインプラント周囲炎等にかかる可能性があります
- 糖尿病、肝硬変、心臓病等の場合、インプラント治療ができない可能性があります
- 高血圧、貧血・不整脈等の場合、インプラント治療後に治癒不全を招く可能性があります
- 自費診療(保険適用外治療)となります
当サイトの内容、テキスト、画像等の無断転載、複製、複写、盗用を固く禁じます。


















