症例詳細
Case detail
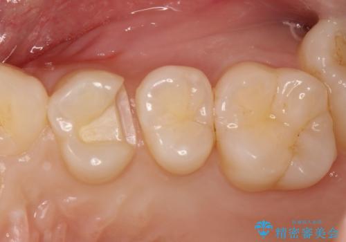
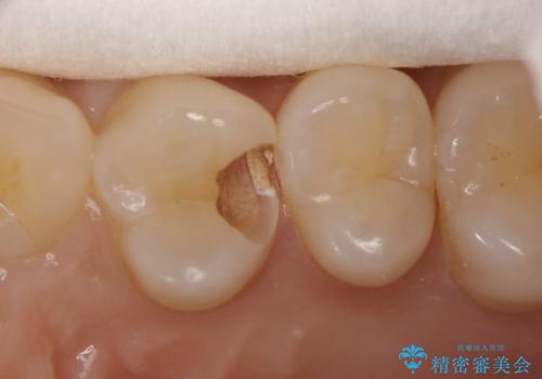
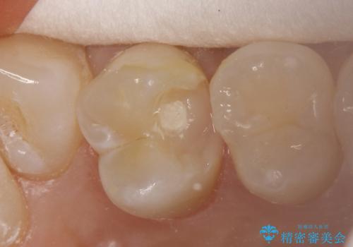
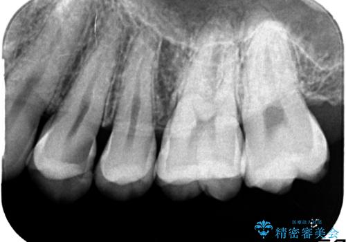
気づかないうちに大きな虫歯が 神経を保存し、セラミックで修復
治療症例の内容
- 診療科目
- 治療カテゴリ
- 担当医
- 患者様
- 20代女性
- 治療期間
- 2ヶ月
- 治療回数
- 2-5回
- 治療計画
- 神経を温存し、セラミックインレーによる修復をおこなった。
- 費用(概算)
- 7万円費用は治療当時の料金となります
治療について
深い虫歯があった場合、たとえ神経を温存できたとしても長期的には痛みが出てきたり、神経がいつの間にか失活(正常な反応を失う)してしまったりするリスクはあります。
安易に神経を取り除くべきではありませんが、神経を保存するのであればそのようなリスクをよく理解していただく必要があります。
詰め物の種類:e.max press
セラミック治療の注意事項(リスク・副作用など)
- 天然歯を削ります
- 硬い素材は天然歯を傷つけてしまう場合があります
- かみ合わせや歯ぎしりが強すぎる方はセラミックが割れてしまう可能性があります
- 自費診療(保険適用外治療)となります
当サイトの内容、テキスト、画像等の無断転載、複製、複写、盗用を固く禁じます。









