症例詳細
Case detail
他院で中途半端に終わってしまったインプラント治療
治療症例の内容
- 担当医
- 大元洋佑(ドクタープロフィール)
- 患者様
- 40代女性
- 治療期間
- 1年11ヶ月
- 治療回数
- 10-30回
- 治療計画
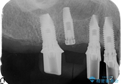
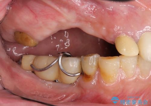
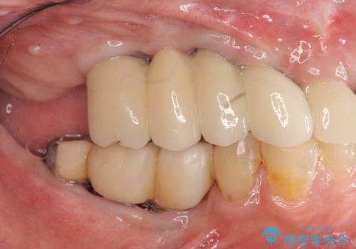
- 他院で1本インプラントを入れたまま治療に通うことができなくなり、途中からの治療を希望され来院されました。
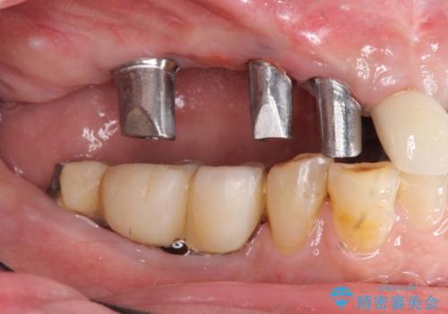
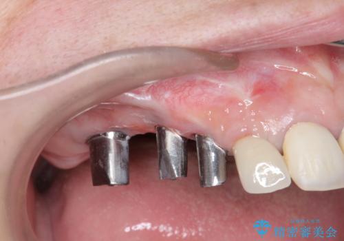
既に埋入されているインプラントは位置が悪いのでそのまま骨内に留置することとし、新たに咬合機能を回復すべく3本のインプラントを埋入すると同時に吸収した骨幅を増やし、安定してインプラントで噛める環境整備を目指します。
- 費用(概算)
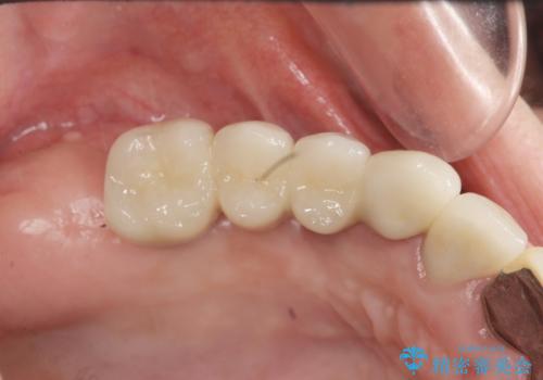
- 120万円(インプラント×3 チタンカスタムアバットメント×3 メタルボンドクラウン×3 骨造成 歯肉移植)費用は治療当時の料金となります
インプラント治療について
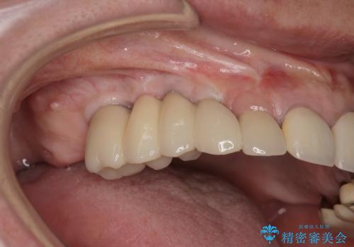
インプラントが長持ちするために、インプラント周囲の十分な骨量・角化歯肉の存在・安定した咬合を一つづつ整備する治療を行いました。
インプラント治療の注意事項(リスク・副作用など)
- 外科手術のため、術後に痛みや腫れ、違和感を伴います
- メンテナンスを怠ったり喫煙により、お口の中に大きな悪影響を及ぼすインプラント周囲炎等にかかる可能性があります
- 糖尿病、肝硬変、心臓病等の場合、インプラント治療ができない可能性があります
- 高血圧、貧血・不整脈等の場合、インプラント治療後に治癒不全を招く可能性があります
- 自費診療(保険適用外治療)となります
当サイトの内容、テキスト、画像等の無断転載、複製、複写、盗用を固く禁じます。



































