症例詳細
Case detail
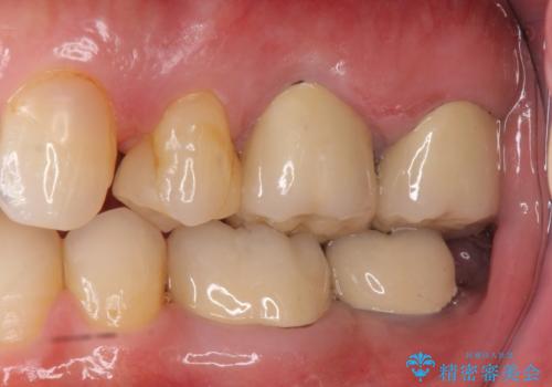
最後方臼歯のインプラント補綴
治療症例の内容
- 診療科目
 
- 治療カテゴリ
 
- 担当医
 - 大元洋佑(ドクタープロフィール)
 
- 患者様
 - 40代男性
 
- 治療期間
 - 7ヶ月
 
- 治療回数
 - 5-10回
 
- 治療計画
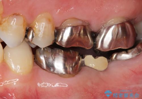
 - 矯正治療・銀歯のやりかえ希望で来院されました。
矯正治療により歯並びの改善を行いつつ失われた最後方臼歯をインプラントを用いて咬合機能回復します。 
- 費用(概算)
 - 40万円(ストローマンインプラント・カスタムチタンアバットメント・メタルボンドクラウン)費用は治療当時の料金となります
 
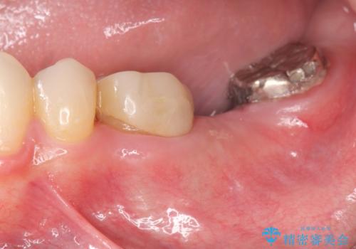
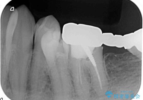
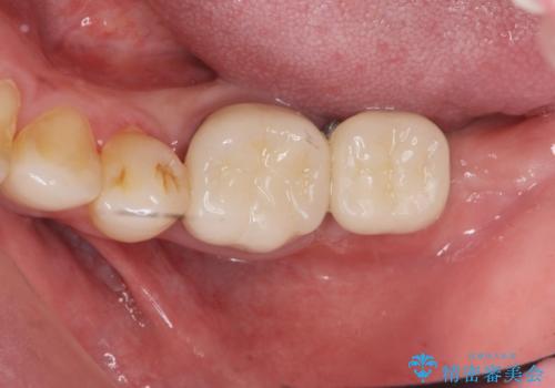
最後方臼歯の治療について
最後方臼歯を喪失した場合、入れ歯・インプラントによる咬合機能回復方法があります。
今回はしっかりと噛むことができ、取り外しの必要のないインプラントによる補綴を行いました。
インプラント治療の注意事項(リスク・副作用など)
- 外科手術のため、術後に痛みや腫れ、違和感を伴います
 - メンテナンスを怠ったり喫煙により、お口の中に大きな悪影響を及ぼすインプラント周囲炎等にかかる可能性があります
 - 糖尿病、肝硬変、心臓病等の場合、インプラント治療ができない可能性があります
 - 高血圧、貧血・不整脈等の場合、インプラント治療後に治癒不全を招く可能性があります
 - 自費診療(保険適用外治療)となります
 
当サイトの内容、テキスト、画像等の無断転載、複製、複写、盗用を固く禁じます。

                      
                                                          










