症例詳細
Case detail
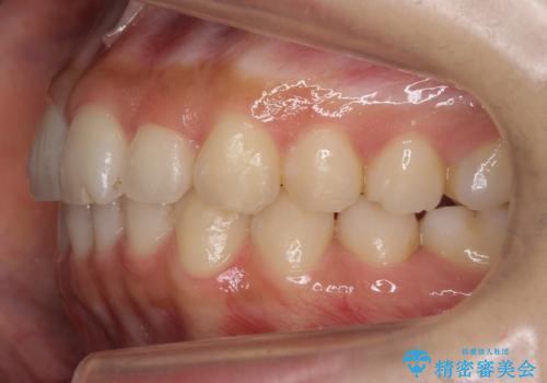
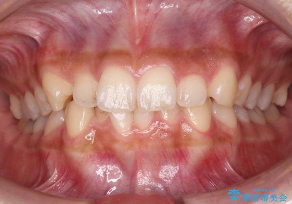
犬歯のねじれ 下の歯のがたがた インビザラインで
治療症例の内容
- 診療科目
- 治療カテゴリ
- 担当医
- 井上季実子(ドクタープロフィール)
- 患者様
- 20代女性
- 矯正装置
- インビザライン
- 治療期間
- 1年7ヶ月
- 治療回数
- 10-30回
- 治療計画
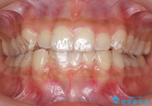
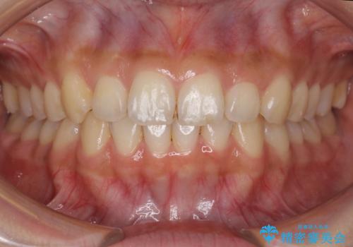
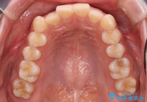
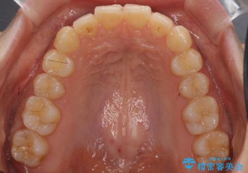
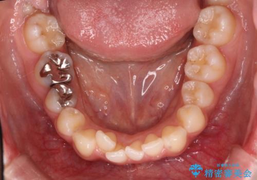
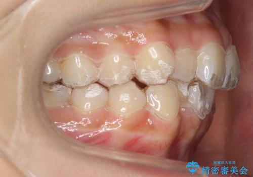
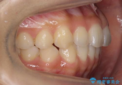
- 右上の犬歯のねじれ、下の歯のがたつきを主訴に来院。
インビザラインで歯を抜かずに並べました。
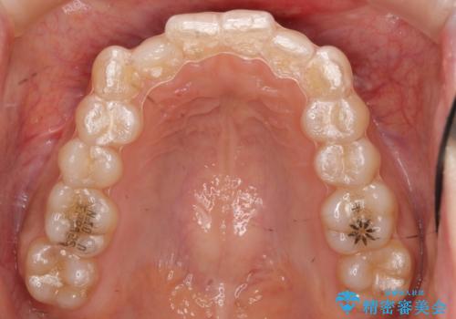
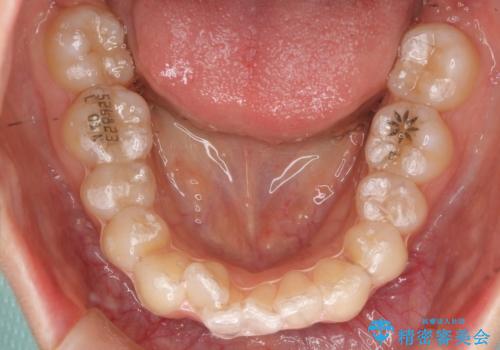
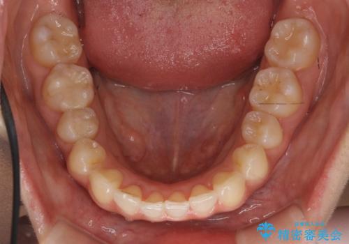
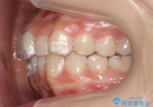
初回:上顎16ステージ 下顎22ステージ
リファインメント: 上顎23ステージ 下顎20ステージ
- 費用(概算)
- 80万円費用は治療当時の料金となります
治療について
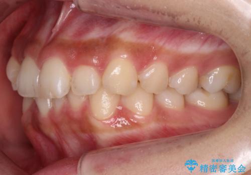
下の前歯のがたがたがそれなりにあったため、リファインメントを行いました。
マウスピース矯正の注意事項(リスク・副作用など)
- 口腔内・歯並びの状態によっては対応できない場合があります
- マウスピース型矯正装置の長時間装着(1日20時間以上)が必須です
- 治療計画通りに進めるためには、患者様の意志が重要になります
- 矯正治療後の保定が不十分だと後戻り(元の位置に戻ろうとする動き)をします
- 薬機法対象外の矯正歯科装置のため医薬品副作用被害救済制度の対象外となる場合があります
- 自費診療(保険適用外)となります
当サイトの内容、テキスト、画像等の無断転載、複製、複写、盗用を固く禁じます。



















