症例詳細
Case detail
自家歯牙移植 使っていない親知らずを移植 20代女性
治療症例の内容
- 診療科目
- 担当医
- 患者様
- 20代女性
- 治療期間
- 4ヶ月
- 治療回数
- 2-5回
- 治療計画
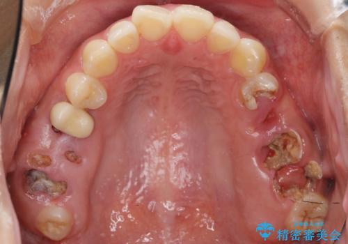
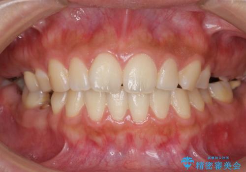
- う蝕により奥歯がボロボロになってしまい、咬むことができないことを主訴に来院された患者様です。
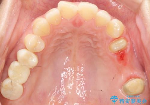
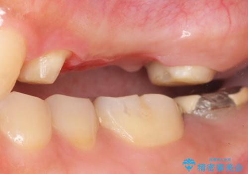
奥歯3本(左上567)はう蝕が深く保存不可能な状態であったため、やむなく抜歯しました。
インプラントも入れ歯も抵抗があるとのご相談により、自家歯牙移植を提案しました。
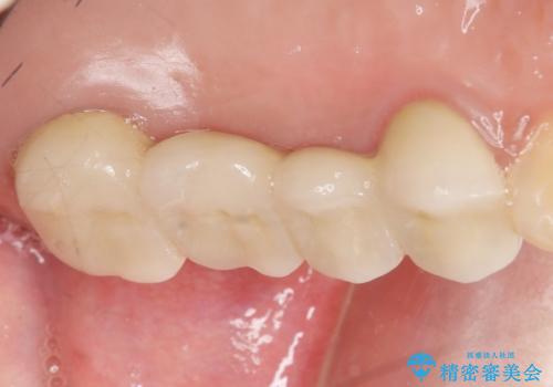
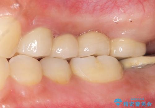
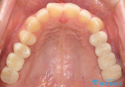
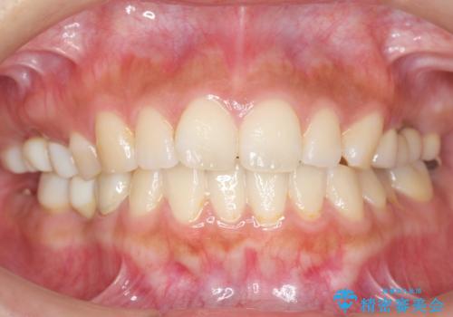
使っていない親知らず(左上8)を左上7抜歯窩に移植し、支台歯としてブリッジによる補綴治療を行いました。
- 費用(概算)
- ¥570,000 (自家歯牙移植、精密根管治療×2、土台×2、仮歯、ブリッジ)費用は治療当時の料金となります
治療について
奥歯で咬むことができるようになり、また見た目も自然だと大変喜んで頂けました。
上顎骨がかなり薄くインプラント治療に対し望ましい状態でないことからも、自家歯牙移植は有意義であったと考えます。
右上奥歯の治療に関しても自家歯牙移植を希望され、現在治療中です。
被せ物の種類:メタルボンドクラウン エコノミー フルベイク
自家歯牙移植の注意事項(リスク・副作用など)
- 外科手術のため、術後に痛みや腫れ、違和感を伴います
- 適応範囲に制限があります(健康な親知らず・移植歯が必要など)
- 移植歯が生着しない可能性があります
- 予後が不安定で歯によっては長く持たない可能性があります
セラミック治療の注意事項(リスク・副作用など)
- 天然歯を削ります
- 硬い素材は天然歯を傷つけてしまう場合があります
- かみ合わせや歯ぎしりが強すぎる方はセラミックが割れてしまう可能性があります
- 自費診療(保険適用外治療)となります
当サイトの内容、テキスト、画像等の無断転載、複製、複写、盗用を固く禁じます。




























