症例詳細
Case detail
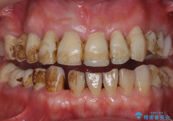
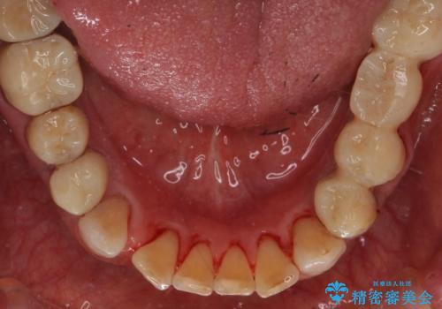
べったり付着した、ステインや汚れをきれいに。
治療症例の内容
- 診療科目
- 治療カテゴリ
- 患者様
- 50代
- 治療期間
- 1日
- 治療回数
- 1回
- 治療計画
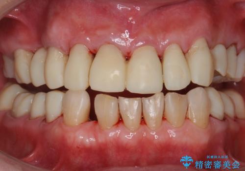
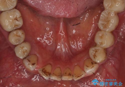
- 日頃からコーヒーをよく飲むそうでべったりとステインが付着していました。
- 費用(概算)
- ¥5000(税別)費用は治療当時の料金となります
治療について
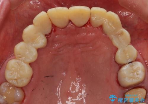
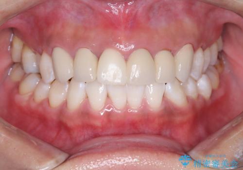
ステインがたくさん付着していたので、エアフローを用いてステインを除去しました。そのため、直後の写真は歯肉からの出血が見られます。
まず歯石取りを行い歯肉の状態を改善後、後日PMTC30分コースをしました。
担当歯科衛生士
横浜桜木町歯科 DH百瀬
PMTCの注意事項(リスク・副作用など)
- 歯を白くする目的の施術ではありません
- 保険適用外となります
当サイトの内容、テキスト、画像等の無断転載、複製、複写、盗用を固く禁じます。






