症例詳細
Case detail
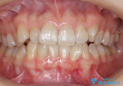
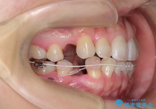
ハーフリンガル 犬歯のねじれ 歯根の外部吸収している歯を抜歯
治療症例の内容
- 診療科目
- 治療カテゴリ
- 担当医
- 井上季実子(ドクタープロフィール)
- 患者様
- 20代女性
- 矯正装置
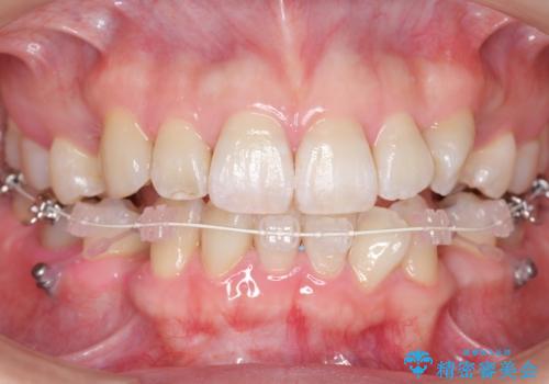
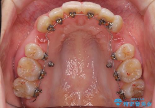
- ハーフリンガル
- 治療期間
- 3年
- 治療回数
- 10-30回
- 治療計画
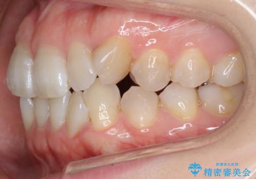
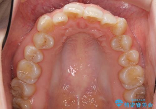
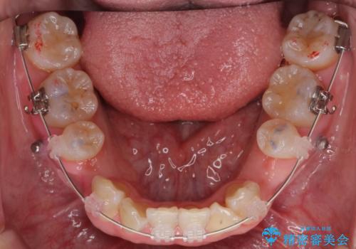
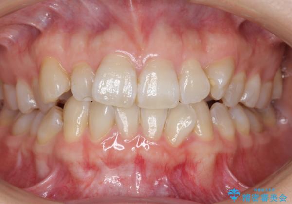
- 前歯のねじれを主訴に来院。
レントゲンを撮影したところ、右下4は神経のない歯で、外部吸収といって、根がだんだん短くなり、やがて抜けてしまう症状になっていました。また、アンキローシスを起こしている可能性があるため、動かない可能性が高い状態でした。
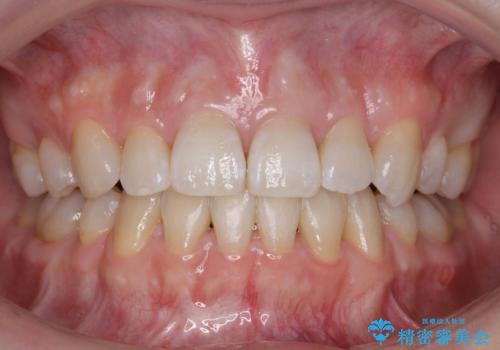
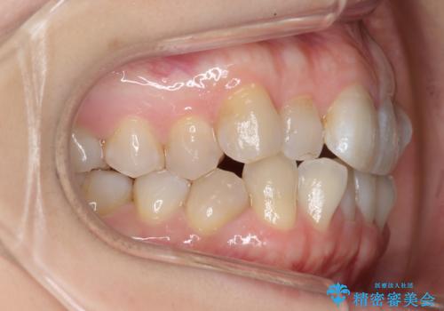
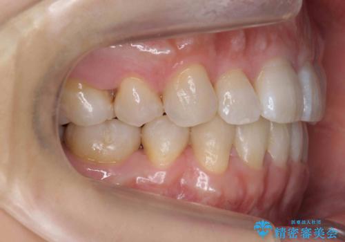
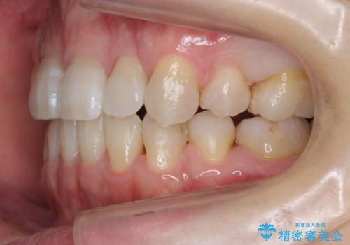
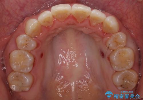
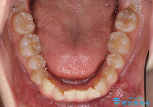
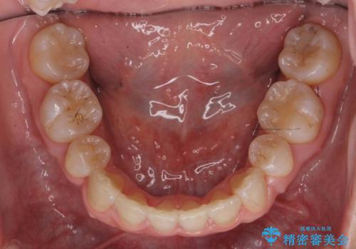
矯正治療で右下を抜歯し、スペースを天然の歯でつめる矯正治療を行いました。
治療期間はかかりましたが、右下4が一生もつとは思えない状態でしたので、人工物を入れないようにすることができました。
矯正治療をしない場合は、右下はブリッジかインプラントが必要になっていたと思います。
- 費用(概算)
- 120万円費用は治療当時の料金となります
治療について
上顎前歯も唇側傾斜しておらず、もともと叢生が多くない状態で上下左右を抜歯した上、リンガルで治療を行なったため、多少治療期間がかかりました。
ワイヤー矯正の注意事項(リスク・副作用など)
- 治療中は違和感や痛みが起こることがあります
- 症状により、抜歯が必要な場合があります
- 治療中は歯磨きがしにくくなるため、虫歯や歯周病になりやすくなります
- 矯正治療後の保定が不十分だと後戻り(元の位置に戻ろうとする動き)をします
- 自費診療(保険適用外)となります
当サイトの内容、テキスト、画像等の無断転載、複製、複写、盗用を固く禁じます。






















