症例詳細
Case detail
虫歯の治療 セラミックの詰め物で綺麗に
治療症例の内容
- 診療科目
- 治療カテゴリ
- 担当医
- 患者様
- 30代女性
- 治療期間
- 1ヶ月
- 治療回数
- 2-5回
- 治療計画
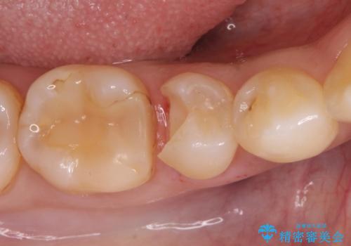
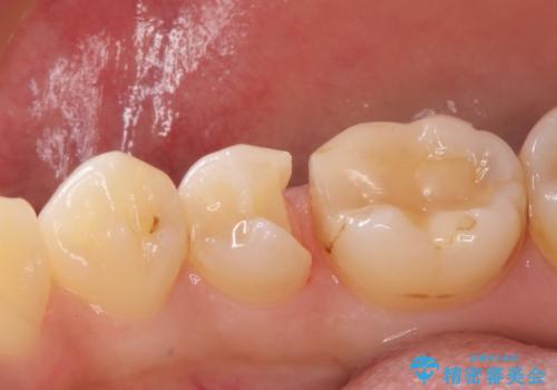
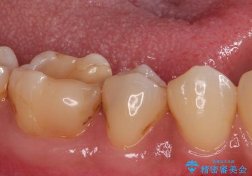
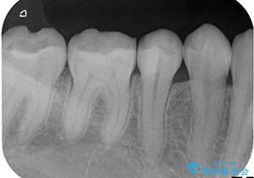
- 歯が欠けて、そこに食べ物が詰まるとのことで来院されました。
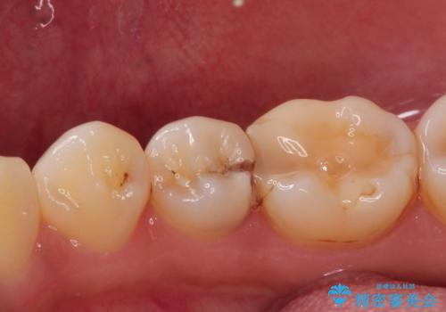
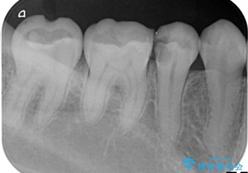
虫歯が大きく進行していました。
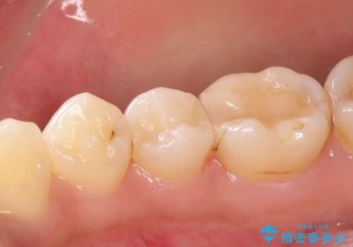
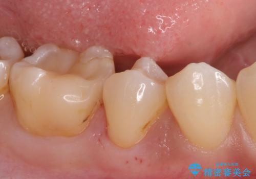
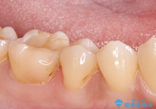
顕微鏡下で丁寧に虫歯を取り除き、セラミックインレーによる修復治療を行いました。
- 費用(概算)
- セラミックインレー7万円費用は治療当時の料金となります
治療について
虫歯が大きく広がっていましたが、顕微鏡を使って慎重に治療を行うことで、神経をとってしまうことなく治療することができます。
セラミック治療の注意事項(リスク・副作用など)
- 天然歯を削ります
- 硬い素材は天然歯を傷つけてしまう場合があります
- かみ合わせや歯ぎしりが強すぎる方はセラミックが割れてしまう可能性があります
- 自費診療(保険適用外治療)となります
当サイトの内容、テキスト、画像等の無断転載、複製、複写、盗用を固く禁じます。













