症例詳細
Case detail
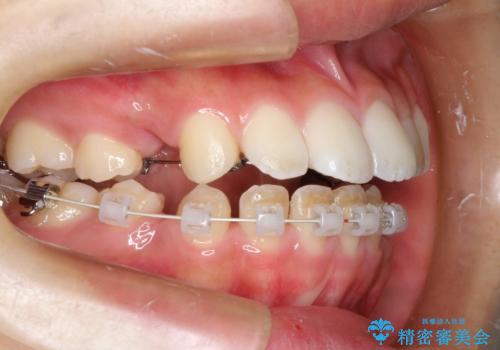
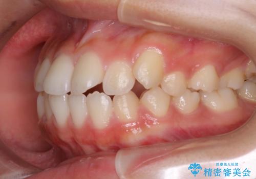
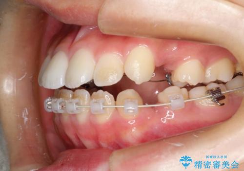
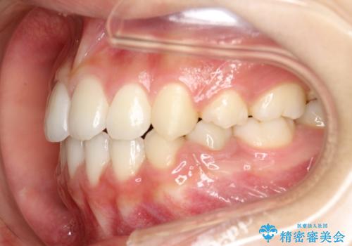
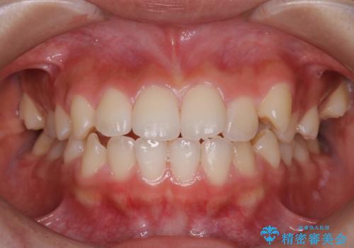
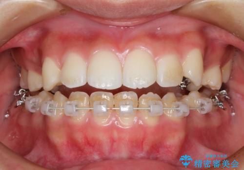
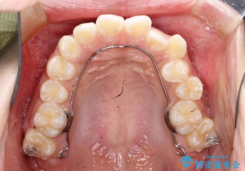
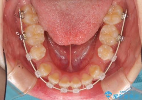
ハーフリンガル 半分裏側矯正による上下前突の抜歯矯正治療
治療症例の内容
- 診療科目
- 担当医
- 患者様
- 20代女性
- 矯正装置
- ハーフリンガル
- 治療期間
- 3年
- 治療回数
- 10-30回
- 治療計画
- 上下左右4本の第1小臼歯を抜歯する、抜歯矯正を計画した。
- 費用(概算)
- 約95万円費用は治療当時の料金となります
治療について
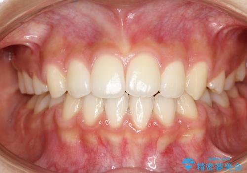
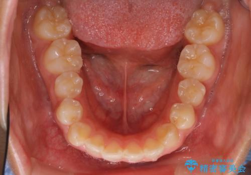
抜歯矯正により前歯の位置が後ろに下がり、わずかではありますが、口元に改善がみられ、歯並びもきれいに整いました。
ワイヤー矯正の注意事項(リスク・副作用など)
- 治療中は違和感や痛みが起こることがあります
- 症状により、抜歯が必要な場合があります
- 治療中は歯磨きがしにくくなるため、虫歯や歯周病になりやすくなります
- 矯正治療後の保定が不十分だと後戻り(元の位置に戻ろうとする動き)をします
- 自費診療(保険適用外)となります
当サイトの内容、テキスト、画像等の無断転載、複製、複写、盗用を固く禁じます。




















