症例詳細
Case detail
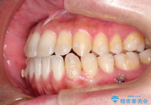
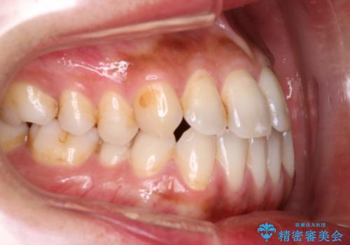
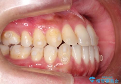
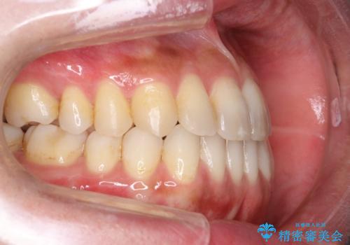
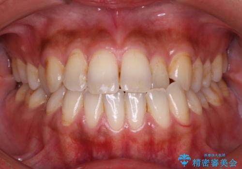
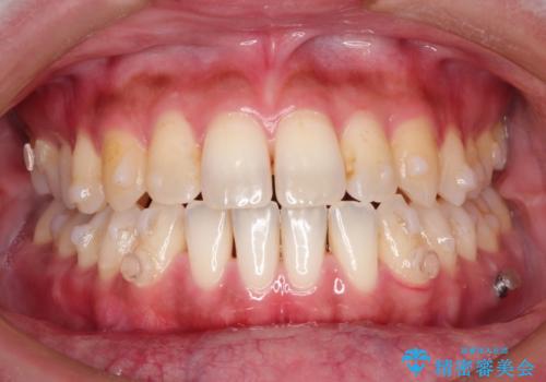
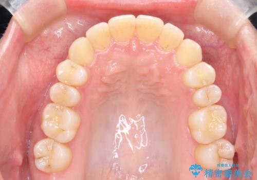
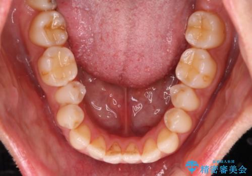
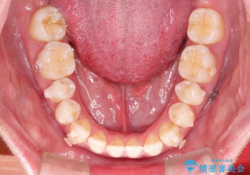
Invisalign インビザライン によるガタつき、受け口傾向の改善
治療症例の内容
- 診療科目
- 治療カテゴリ
- 担当医
- 患者様
- 30代女性
- 矯正装置
- invisalign full
- 治療期間
- 1年
- 治療回数
- 10-30回
- 治療計画
- 拡大・IPRによるスペースゲインを主とした非抜歯・マウスピース矯正を計画しました。
- 費用(概算)
- 約80万円費用は治療当時の料金となります
治療について
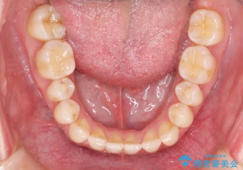
奥歯の位置関係の修正は難儀することが多いマウスピース矯正ですが、割とスムーズに奥歯の位置関係の修正をすることができました。
クロスバイトもきれいになり、きれいな歯並びとなりました。
マウスピース矯正の注意事項(リスク・副作用など)
- 口腔内・歯並びの状態によっては対応できない場合があります
- マウスピース型矯正装置の長時間装着(1日20時間以上)が必須です
- 治療計画通りに進めるためには、患者様の意志が重要になります
- 矯正治療後の保定が不十分だと後戻り(元の位置に戻ろうとする動き)をします
- 薬機法対象外の矯正歯科装置のため医薬品副作用被害救済制度の対象外となる場合があります
- 自費診療(保険適用外)となります
当サイトの内容、テキスト、画像等の無断転載、複製、複写、盗用を固く禁じます。





















