症例詳細
Case detail
20代女性 わずかな歯並びの修正(invisalignにて)
治療症例の内容
- 診療科目
- 担当医
- 患者様
- 20代女性
- 矯正装置
- マウスピース
- 治療期間
- 7ヶ月
- 治療回数
- 10-30回
- 治療計画
- invisalign 用の型どり
→コンピューター上のシュミレーション(ClinCheck)の確認
→マウスピースの交換
- 費用(概算)
- 45万円費用は治療当時の料金となります
治療について
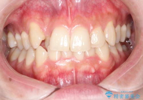
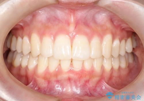
・切端咬合気味であった前歯の咬み合わせの関係
・前から2番目の歯がねじれており、部分的な反対咬合となっている
の改善を行いました。
写真ではわかりづらいですが、患者さんの希望により上下の歯をより内側に引くような動きを併行させています。
マウスピース矯正で最も大事なのは、やはり患者さん自身にどれだけ真面目にマウスピースを装着していただけるか これにかかっているように思います。
マウスピース矯正の注意事項(リスク・副作用など)
- 口腔内・歯並びの状態によっては対応できない場合があります
- マウスピース型矯正装置の長時間装着(1日20時間以上)が必須です
- 治療計画通りに進めるためには、患者様の意志が重要になります
- 矯正治療後の保定が不十分だと後戻り(元の位置に戻ろうとする動き)をします
- 薬機法対象外の矯正歯科装置のため医薬品副作用被害救済制度の対象外となる場合があります
- 自費診療(保険適用外)となります
当サイトの内容、テキスト、画像等の無断転載、複製、複写、盗用を固く禁じます。














