症例詳細
Case detail
でこぼこ 八重歯をきれいに
治療症例の内容
- 診療科目
- 治療カテゴリ
- 担当医
- 井上季実子(ドクタープロフィール)
- 患者様
- 10代女性
- 矯正装置
- 審美装置
- 治療期間
- 1年8ヶ月
- 治療回数
- 10-30回
- 治療計画
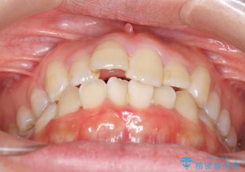
- 八重歯を気にして来院されました。
歯のがたがたがあったため、上下の小臼歯を抜いて治療しました。
犬歯(糸切り歯)はすべての歯の中で歯根が一番長く、安易に抜かずに並べていくことは大変重要なことです。
八重歯は最初の半年くらいで改善し、見た目はだいぶ良くなりました。
- 費用(概算)
- 95万円費用は治療当時の料金となります
治療後の感想
すごく汚かった歯を約2年で、ここまでキレイにしてくれて歯医者さんのみなさまには感謝の言葉でいっぱいです。
ほんとうに嬉しいです!ありがとうございました!
治療について(井上より)
笑った時の口元の印象もだいぶかわりました。これでお手入れもしやすくなりましたね!
1年ちょっとで美しく機能的な咬合となりました。
ワイヤー矯正の注意事項(リスク・副作用など)
- 治療中は違和感や痛みが起こることがあります
- 症状により、抜歯が必要な場合があります
- 治療中は歯磨きがしにくくなるため、虫歯や歯周病になりやすくなります
- 矯正治療後の保定が不十分だと後戻り(元の位置に戻ろうとする動き)をします
- 自費診療(保険適用外)となります
当サイトの内容、テキスト、画像等の無断転載、複製、複写、盗用を固く禁じます。



















