症例詳細
Case detail
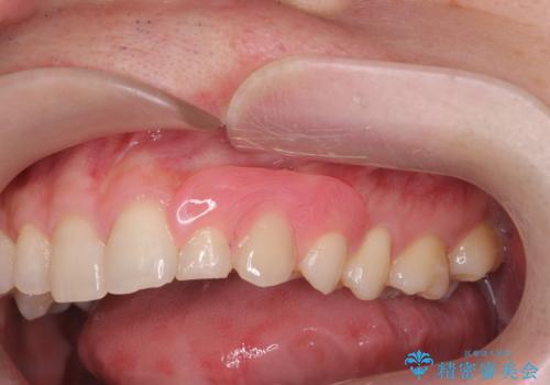
[骨の隆起で話しづらい]舌のスペースを確保する骨隆起切除術
治療症例の内容
- 担当医
- 大元洋佑(ドクタープロフィール)
- 患者様
- 30代男性
- 治療期間
- 1ヶ月
- 治療回数
- 2-5回
- 治療計画
- 虫歯の治療を希望され来院されました。
治療が進む中で舌のスペースが狭く、息苦しさや話しづらいことに悩まれていることの改善として骨隆起の切除を行いました。
切除術は静脈内鎮静法を併用し、リラックスした状態で行いました。
- 費用(概算)
- 10万円(麻酔込み)費用は治療当時の料金となります
骨隆起について
骨隆起は歯ぎしりや食いしばりと言った、歯や顎骨に大きな力がかかる場合に生じる場合があります。
通常義歯を作製する場合に、邪魔となり切除することがありますが今回は舌のスペースが狭く話しづらいとのことで切除術を施行しました。
一般的な外科処置に伴う、出血・疼痛・腫脹・感染のリスクがあります。
再発防止策の一例
・歯ぎしり用のマウスピースの作成
・歯の食いしばりを意識する
外科処置の注意事項(リスク・副作用など)
- 外科手術のため、術後に出血、痛みや腫れ、違和感を伴います
- 口腔内の状態によっては適応できないことがあります
当サイトの内容、テキスト、画像等の無断転載、複製、複写、盗用を固く禁じます。

![[骨の隆起で話しづらい]舌のスペースを確保する骨隆起切除術の治療前](https://seimitsushinbi.jp/wp/wp-content/uploads/2019/06/74bc3006592166a3cd658e888e03b497-500x350.jpg)
![[骨の隆起で話しづらい]舌のスペースを確保する骨隆起切除術の治療中](https://seimitsushinbi.jp/wp/wp-content/uploads/2019/06/884a9554123311f340e76c6fd8d617bf-500x350.jpg)
![[骨の隆起で話しづらい]舌のスペースを確保する骨隆起切除術の治療後](https://seimitsushinbi.jp/wp/wp-content/uploads/2019/06/0bb346924be11304dc04a0886e41537d-500x350.jpg)
![[骨の隆起で話しづらい]舌のスペースを確保する骨隆起切除術の治療前](https://seimitsushinbi.jp/wp/wp-content/uploads/2019/06/5f9d80241591c8fa0468e9329e557c75-500x350.jpg)
![[骨の隆起で話しづらい]舌のスペースを確保する骨隆起切除術の治療中](https://seimitsushinbi.jp/wp/wp-content/uploads/2019/06/e7ce36e51e1e121722747ef31b1015c8-500x350.jpg)
![[骨の隆起で話しづらい]舌のスペースを確保する骨隆起切除術の治療後](https://seimitsushinbi.jp/wp/wp-content/uploads/2019/06/82e2bb1f17008ea14e4b5d6fd2458c50-500x350.jpg)
![[骨の隆起で話しづらい]舌のスペースを確保する骨隆起切除術の治療中](https://seimitsushinbi.jp/wp/wp-content/uploads/2019/06/8ad819fc64dd48f0d2062796d6262e8f-500x350.jpg)
![[骨の隆起で話しづらい]舌のスペースを確保する骨隆起切除術の治療中](https://seimitsushinbi.jp/wp/wp-content/uploads/2019/06/40ac933f48d3627853eda1dcfdfc0da9-500x350.jpg)
![[骨の隆起で話しづらい]舌のスペースを確保する骨隆起切除術の治療中](https://seimitsushinbi.jp/wp/wp-content/uploads/2019/06/dd97305f2bda2af365a6cdf400d8dcbc-500x350.jpg)
![[骨の隆起で話しづらい]舌のスペースを確保する骨隆起切除術の治療中](https://seimitsushinbi.jp/wp/wp-content/uploads/2019/06/a2998f51514cd9e928bfbdeb9356bfa7-500x350.jpg)
![[骨の隆起で話しづらい]舌のスペースを確保する骨隆起切除術の治療中](https://seimitsushinbi.jp/wp/wp-content/uploads/2019/06/4cc52df3c4aaaf1ea8d7def6e84f79b5-500x350.jpg)
![[骨の隆起で話しづらい]舌のスペースを確保する骨隆起切除術の治療中](https://seimitsushinbi.jp/wp/wp-content/uploads/2019/06/2a9209d60b612d651fc8e387f42f8875-500x350.jpg)