症例詳細
Case detail
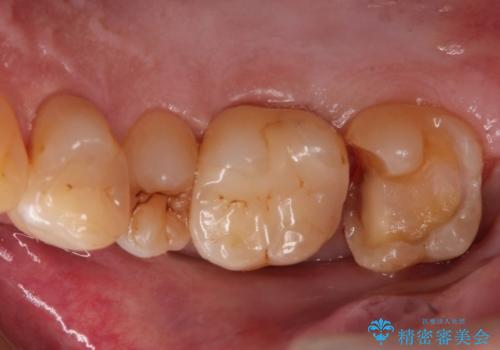
つめものが欠けた 奥歯のセラミックインレー
治療症例の内容
- 診療科目
- 治療カテゴリ
- 担当医
- 吉﨑ゆりな(ドクタープロフィール)
- 患者様
- 60代男性
- 治療期間
- 1ヶ月
- 治療回数
- 2-5回
- 治療計画
- つめものが欠けたとのことで、来院された患者様です。
レントゲンから虫歯が深いことが予想されたため、神経の処置が必要になる可能性を説明した上で、
白いもの希望とのことで、セラミックインレー修復を行う方針をたてました。
- 費用(概算)
- 7万円+tax費用は治療当時の料金となります
治療について
レントゲンから、虫歯が深いことが予想されたため、ラバーダムを使用して虫歯治療を行いました。
幸い、そこまで虫歯は深くなく、神経の処置は必要なかったため、
予定通り、セラミックインレー修復を行いました。
セラミック治療の注意事項(リスク・副作用など)
- 天然歯を削ります
- 硬い素材は天然歯を傷つけてしまう場合があります
- かみ合わせや歯ぎしりが強すぎる方はセラミックが割れてしまう可能性があります
- 自費診療(保険適用外治療)となります
当サイトの内容、テキスト、画像等の無断転載、複製、複写、盗用を固く禁じます。





