症例詳細
Case detail
30代女性 虫歯が多くて人前で口を開けられない 審美歯科治療
治療症例の内容
- 診療科目
- 治療カテゴリ
- 担当医
- 藤巻太一朗(ドクタープロフィール)
- 患者様
- 30代女性
- 治療期間
- 2年
- 治療回数
- 5-10回
- 治療計画
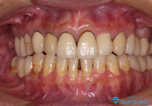
- 奥歯の大きな虫歯により歯が失われてしまい、大きく口を開けると歯がないことが周りの人に見えてしまうことを気にされていた患者様です。
前方の歯については学生時代の矯正治療の際、装置周りに多数の虫歯を作ってしまっていました。
奥歯の欠損部位については、インプラントにより咬めるようにし、その他の虫歯については審美補綴治療を行います。
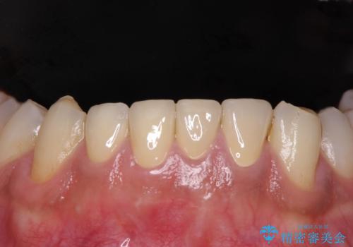
右上の犬歯は歯肉退縮が著しく、歯肉移植による根面被覆を提案しましたが、しばらくは様子を見たいとのことでした。
クラウンの縁の位置は将来の根面被覆に対応できるような位置に設定することにしました。
- 費用(概算)
- 治療費の目安: 300万円費用は治療当時の料金となります
治療を終えて
お仕事で多忙な患者様であったため、治療期間は予定の2倍くらいの期間がかかってしまいました。そのため、治療期間中に仮歯が外れてしまったり、痛みが出てしまったりとご迷惑をかけてしまうことがありました。
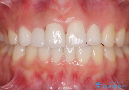
すべてのクラウンが装着された後は、痛みやかみ合わせの不具合が解消されたことはもちろん、審美的にも大きく改善され、患者様には大変満足していただけました。
リスクについて
根管治療後は一定の確率で症状が再発する可能性があります。
セラミックは破折などにより修復や再製作が必要となることがあります。
外科処置は術後に痛みを伴います。
インプラント治療の注意事項(リスク・副作用など)
- 外科手術のため、術後に痛みや腫れ、違和感を伴います
- メンテナンスを怠ったり喫煙により、お口の中に大きな悪影響を及ぼすインプラント周囲炎等にかかる可能性があります
- 糖尿病、肝硬変、心臓病等の場合、インプラント治療ができない可能性があります
- 高血圧、貧血・不整脈等の場合、インプラント治療後に治癒不全を招く可能性があります
- 自費診療(保険適用外治療)となります
当サイトの内容、テキスト、画像等の無断転載、複製、複写、盗用を固く禁じます。




