症例詳細
Case detail
前歯の部分矯正 インビザラインエクスプレスパッケージ
治療症例の内容
- 診療科目
- 治療カテゴリ
- 担当医
- 奥村高広(ドクタープロフィール)
- 患者様
- 30代女性
- 矯正装置
- インビザライン
- 治療期間
- 3ヶ月
- 治療回数
- 5-10回
- 治療計画
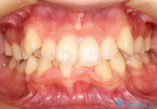
- 再矯正希望で来院された患者様です。
再治療ということもあり、あまり費用かけずに後戻りを治したいというご希望がありました。
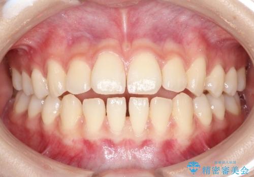
枚数限定のエクスプレスパッケージによる前歯のみの部分矯正治療を計画しました。
- 費用(概算)
- 35万円費用は治療当時の料金となります
治療について
部分矯正は治療が短期間で終わる、費用が安いというメリットがありますが、時に治療において理想的な結果を目指せないことがあります。
今回は再矯正ということもあり非常に満足いただくことができました。
マウスピース矯正の注意事項(リスク・副作用など)
- 口腔内・歯並びの状態によっては対応できない場合があります
- マウスピース型矯正装置の長時間装着(1日20時間以上)が必須です
- 治療計画通りに進めるためには、患者様の意志が重要になります
- 矯正治療後の保定が不十分だと後戻り(元の位置に戻ろうとする動き)をします
- 薬機法対象外の矯正歯科装置のため医薬品副作用被害救済制度の対象外となる場合があります
- 自費診療(保険適用外)となります
当サイトの内容、テキスト、画像等の無断転載、複製、複写、盗用を固く禁じます。






















