症例詳細
Case detail
1日で白い歯にしたい
治療症例の内容
- 診療科目
- 治療カテゴリ
- 患者様
- 30代男性
- 治療期間
- 1ヶ月
- 治療回数
- 1回
- 治療計画
- 初めてのホワイトニングで一日で歯を白くしたいということでご来院されました。
- 費用(概算)
- 21,600円 税別(20%off対象時間にご来院されたため)費用は治療当時の料金となります
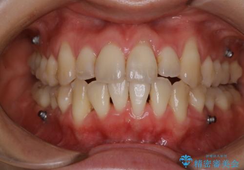
治療について
黄ばみがとれ、歯の色が1トーン上がりました。歯肉退縮があったため、その部分は保護をして薬剤が触れないよう配慮しながら施術を行いました。
(担当歯科衛生士:東京駅前しらゆり歯科、加藤)
ホワイトニングの注意事項(リスク・副作用など)
- 知覚過敏が出ることがあります
- ホワイトバンドや白い斑点が出ることがあります
- クラウンやインレー等の補綴物には効果がありません
- ホワイトニングによる効果や持続期間には個人差があります
- 歯牙の状態によっては適応できないことがあります
- 保険適用外となります
当サイトの内容、テキスト、画像等の無断転載、複製、複写、盗用を固く禁じます。


