症例詳細
Case detail
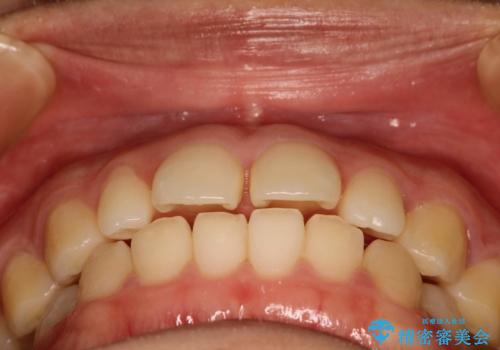
ハーフリンガル ワイヤー矯正 出っ歯の矯正治療
治療症例の内容
- 診療科目
- 治療カテゴリ
- 担当医
- 患者様
- 40代女性
- 矯正装置
- ハーフリンガル
- 治療期間
- 2年6ヶ月
- 治療回数
- 10-30回
- 治療計画
- 上顎2本の第一小臼歯を抜歯し、ハーフリンガル装置にて上の前歯を牽引します。
- 費用(概算)
- 約90万円費用は治療当時の料金となります
治療について
被せものが多くはいっていたため、歯のバランスや装置の安定などの点で難しい部分がありましたが、上の前歯を大幅に牽引し、上下の前歯が接触・機能するようになりました。
ワイヤー矯正の注意事項(リスク・副作用など)
- 治療中は違和感や痛みが起こることがあります
- 症状により、抜歯が必要な場合があります
- 治療中は歯磨きがしにくくなるため、虫歯や歯周病になりやすくなります
- 矯正治療後の保定が不十分だと後戻り(元の位置に戻ろうとする動き)をします
- 自費診療(保険適用外)となります
当サイトの内容、テキスト、画像等の無断転載、複製、複写、盗用を固く禁じます。























