症例詳細
Case detail
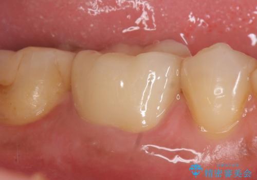
適合の良いものを セラミックインレー修復
治療症例の内容
- 診療科目
- 治療カテゴリ
- 担当医
- 患者様
- 40代男性
- 治療期間
- 2ヶ月
- 治療回数
- 2-5回
- 治療計画
- 詰め物が取れたことを主訴に来院されました。
セラミックインレーにて修復することとしましたが、装着後レントゲン写真で確認したところ適合が甘い部分を認めたため、もう一度型どりを行い、再度装着することとしました。
その際、奥の銀歯もセラミックにしたいと希望されたため、左下奥歯3本をセラミックインレー修復しました。
- 費用(概算)
- e-max インレー ¥70,000円×3費用は治療当時の料金となります
治療について
精密に歯を印象(型どり)してもレントゲン写真で少し隙間があったり、フロス等で引っ掛かりが認められることがごくたまにありますが、そのような場合はより適合の良いものを提供できるように再度、作り直しを行います。
セラミック治療の注意事項(リスク・副作用など)
- 天然歯を削ります
- 硬い素材は天然歯を傷つけてしまう場合があります
- かみ合わせや歯ぎしりが強すぎる方はセラミックが割れてしまう可能性があります
- 自費診療(保険適用外治療)となります
当サイトの内容、テキスト、画像等の無断転載、複製、複写、盗用を固く禁じます。










