症例詳細
Case detail
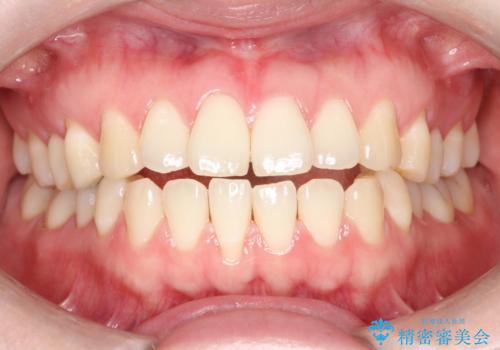
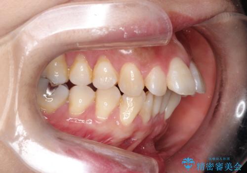
インビザラインによるガタつきの治療 クロスバイトの改善
治療症例の内容
- 診療科目
- 担当医
- 患者様
- 30代女性
- 矯正装置
- invisalign Full
- 治療期間
- 1年
- 治療回数
- 10-30回
- 治療計画
- 中等度の叢生(ガタつき)のため、インビザラインによる非抜歯治療を計画します。
- 費用(概算)
- 約75万円費用は治療当時の料金となります
治療について
インビザラインによるマウスピース矯正は、世の中でも注目を集め、矯正医の中でも治療方法としていまだに賛否両論が見受けられます。
マウスピースにはマウスピースの、ワイヤーにはワイヤーの特徴があるため、これらを十分把握した上で、適応症例を選択すれば非常に有益な装置といえます。
患者さんの協力度が非常に重要なため、ライフスタイルや性格といったことも考慮しなければなりません。
マウスピース矯正の注意事項(リスク・副作用など)
- 口腔内・歯並びの状態によっては対応できない場合があります
- マウスピース型矯正装置の長時間装着(1日20時間以上)が必須です
- 治療計画通りに進めるためには、患者様の意志が重要になります
- 矯正治療後の保定が不十分だと後戻り(元の位置に戻ろうとする動き)をします
- 薬機法対象外の矯正歯科装置のため医薬品副作用被害救済制度の対象外となる場合があります
- 自費診療(保険適用外)となります
当サイトの内容、テキスト、画像等の無断転載、複製、複写、盗用を固く禁じます。





















