症例詳細
Case detail
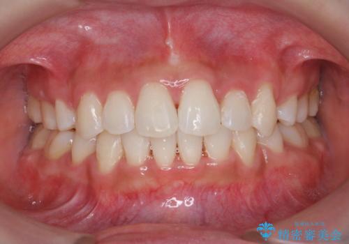
たくさん付着した歯石とプラークをスケーリングで除去
治療症例の内容
- 治療カテゴリ
- 患者様
- 30代男性
- 治療期間
- 1日
- 治療回数
- 1回
- 治療計画
- 歯周病の治療を主訴にご来院されました。お口の中はプラークと歯石がたくさん付着していて、歯茎の腫れもみられました。
- 費用(概算)
- PMTC 1時間コース 1万円 費用は治療当時の料金となります
治療について
歯石とプラークがたくさん付着したていたので、歯茎の上の部分に付着している歯石とプラークをスケーリングで除去しました。今後全顎的に、スケーリング・ルートプレーニングを進めていく予定です。
スケートリング後、知覚過敏が起こる可能性があります。
担当歯科衛生士
横浜桜木町歯科 DH百瀬
PMTCの注意事項(リスク・副作用など)
- 歯を白くする目的の施術ではありません
- 保険適用外となります
当サイトの内容、テキスト、画像等の無断転載、複製、複写、盗用を固く禁じます。


