症例詳細
Case detail
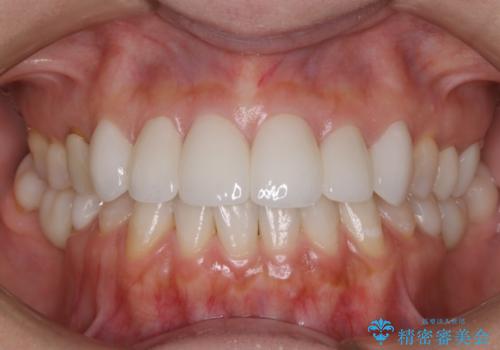
銀歯から白い歯へ
治療症例の内容
- 診療科目
- 治療カテゴリ
- 担当医
- 今村大二郎(ドクタープロフィール)
- 患者様
- 20代 男性
- 治療期間
- 1ヶ月
- 治療回数
- 2-5回
- 治療計画
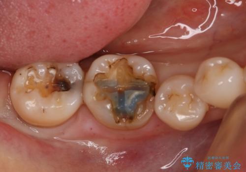
- 「左上の銀の詰め物が気になるので白いもので詰めなおしたい」という希望があり、古い詰め物を外して審美性の高いセラミックインレーで再修復することとなりました。親知らずの抜歯は希望されなかったため行いませんでした。
- 費用(概算)
- 14万円(7万円×2)費用は治療当時の料金となります
銀歯から白い歯へ
今回、他院で治療した銀歯をセラミックインレーで再修復することとなりました。保険の銀歯は経年的な劣化で詰め物のふちが欠けたり、適合が悪くなり目に見えない部分の虫歯の原因となることがあります。
セラミックスを使用した詰め物の治療では、金属と違い酸化するリスクや成分が溶け出るというリスクがなく審美的な要件も備えています。
ただし、セラミックスは日常の食事や歯ぎしりなどで詰め物が欠けたりする可能性があります。
セラミック治療の注意事項(リスク・副作用など)
- 天然歯を削ります
- 硬い素材は天然歯を傷つけてしまう場合があります
- かみ合わせや歯ぎしりが強すぎる方はセラミックが割れてしまう可能性があります
- 自費診療(保険適用外治療)となります
当サイトの内容、テキスト、画像等の無断転載、複製、複写、盗用を固く禁じます。








