症例詳細
Case detail
部分矯正+上の前歯のセラミック
治療症例の内容
- 診療科目
- 治療カテゴリ
- 担当医
- 井上季実子(ドクタープロフィール)
- 患者様
- 30代女性
- 矯正装置
- 審美装置
- 治療期間
- 4ヶ月
- 治療回数
- 10-30回
- 治療計画
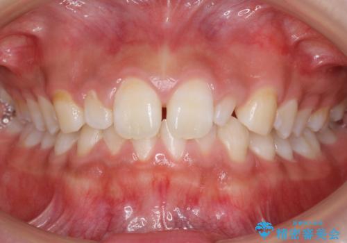
- 部分矯正で下の歯1本が飛び出して上の歯に強く当たっている状態を解消してから、上の歯のかぶせもののやり直しを行いました。
矯正治療とセラミッククラウンを行うことで、上のセラミッククラウンも長持ちするような形で作成することができました。
気になっていた下の前歯の並びもきれいになり、患者様には大変満足していただきました。
セラミッククラウンはDr.藤田が担当しました。
- 費用(概算)
- 矯正治療費50万円 前歯被せ物22万円費用は治療当時の料金となります
矯正治療の感想
いつもていねいに説明をしてくださり、安心して治療を受けることができました。毎回写真を撮って見比べるのは楽しみでした。
治療について(矯正担当 井上より)
一般的に歯のがたがたをそのまま並べると前歯は前方に出てしまいます。今回は、上のかぶせものに下の前歯が強くあたらないように、歯を少しやすりがけして(ディスキングといいます)なるべく内側に並べるようにしました。
部分矯正ですので、奥歯のかみ合わせは変わっていません。
ブラケットもわずかな本数(6本)のみで、4ヶ月と短期間ながら非常に有用な治療になったと思います。
セラミック治療の注意事項(リスク・副作用など)
- 天然歯を削ります
- 硬い素材は天然歯を傷つけてしまう場合があります
- かみ合わせや歯ぎしりが強すぎる方はセラミックが割れてしまう可能性があります
- 自費診療(保険適用外治療)となります
ワイヤー矯正の注意事項(リスク・副作用など)
- 治療中は違和感や痛みが起こることがあります
- 症状により、抜歯が必要な場合があります
- 治療中は歯磨きがしにくくなるため、虫歯や歯周病になりやすくなります
- 矯正治療後の保定が不十分だと後戻り(元の位置に戻ろうとする動き)をします
- 自費診療(保険適用外)となります
当サイトの内容、テキスト、画像等の無断転載、複製、複写、盗用を固く禁じます。















