症例詳細
Case detail
虫歯治療 PGAインレー
治療症例の内容
- 診療科目
- 治療カテゴリ
- 担当医
- 患者様
- 40代男性
- 治療期間
- 1ヶ月
- 治療回数
- 2-5回
- 治療計画
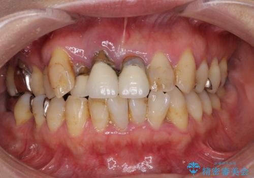
- 左上に装着されている銀歯に違和感があるとの事で来院されました。
レントゲン写真を撮影すると適合の悪いインレーが装着されており、一番奥の歯にはメタルとプラスチック二つの材料が詰められていました。
左上すべてのインレーのやり替えを希望されたため、古い銀歯・虫歯を除去しインレー修復しました。
見た目よりも、適合の良さ、歯に類似した硬さなどの機能面を優先されたためゴールドインレーを装着しました。
- 費用(概算)
- PGAインレー6万×4+tax費用は治療当時の料金となります
治療について
一番奥の歯に関しては歯質が少ないためクラウン(被せ物)でのやり替えをすすめましたができるだけ歯の削る量を少なくしたいと希望されたため、アンレー(歯の大部分を覆う詰め物)修復にて治療しました。
リスクについて
自分の残っている歯が少ない場合はアンレーを入れることで残った歯質が折れてしまう場合もあるので、破損しにくいクラウンにする場合もあります。
また、金属色であるためセラミックと比べ、審美性ではセラミックに劣ります。
PGA(ゴールド)クラウン、インレーの注意事項(リスク・副作用など)
- インレーおよびクラウンは脱離するリスクがあります
- 形成量はセラミックより少ないですが、歯の形成、修復後に歯に症状が出ることがあります
- 自費診療(保険適用外治療)となります
当サイトの内容、テキスト、画像等の無断転載、複製、複写、盗用を固く禁じます。





