症例詳細
Case detail
セラミックインレー修復 虫歯をとって白い歯へ
治療症例の内容
- 診療科目
- 治療カテゴリ
- 担当医
- 今村大二郎(ドクタープロフィール)
- 患者様
- 20代女性
- 治療期間
- 1ヶ月
- 治療回数
- 2-5回
- 治療計画
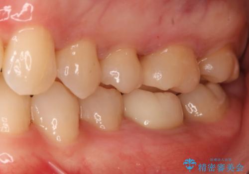
- 初診時、色が黒ずんでいる歯があり気になるとのことでいらっしゃいました。
診査の結果、下顎左右の前から6番目の歯に深い虫歯があったため治療をすることになりました。
歯の外形全体を削る必要性はなかったため詰め物(インレー)タイプで修復していく運びとなりました。(e-max プレスインレー)
- 費用(概算)
- 7万円費用は治療当時の料金となります
症状の無い、静かに進行している虫歯
虫歯=歯が痛い というイメージがある方も多いかもしれませんが、実際には時間をかけて少しずつ進行する虫歯は、無症状に歯の奥深くまで進行していることが多くあります。今回も歯の見た目の悪さを気にして来院されましたが、実際には神経の近くまで虫歯が広がっており、神経の治療が必要になる一歩手前の状態でした。早めの治療を行えたことで詰め物での治療で治すことができました。
セラミック治療の注意事項(リスク・副作用など)
- 天然歯を削ります
- 硬い素材は天然歯を傷つけてしまう場合があります
- かみ合わせや歯ぎしりが強すぎる方はセラミックが割れてしまう可能性があります
- 自費診療(保険適用外治療)となります
当サイトの内容、テキスト、画像等の無断転載、複製、複写、盗用を固く禁じます。






