症例詳細
Case detail
前歯のラミネートをクラウンに
治療症例の内容
- 診療科目
- 治療カテゴリ
- 担当医
- 藤巻太一朗(ドクタープロフィール)
- 患者様
- 40代女性
- 治療期間
- 1年
- 治療回数
- 5-10回
- 治療計画
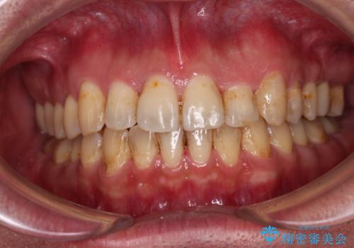
- ラミネートベニアにて着色歯を被覆していましたが、周辺の変色目立ったり、歯石が付きやすくなったりしたため、クラウンへの交換を希望された方です。
また、左右奥歯にも問題があるのでそちらの治療も希望されていました。
右下大臼歯 インプラント2本埋入後、フルジルコニアクラウンにて補綴
右上大臼歯 骨整形術後、フルジルコニアクラウンにて補綴
上下前歯 オールセラミック(ジルコニアクラウン)にて補綴
※左上下奥歯は前歯と右側終了後に検討
- 費用(概算)
- 治療費の目安: 180万円費用は治療当時の料金となります
治療を終えて
ラミネートベニアをクラウンへ変更したことで、歯の周辺の清掃性が向上され、更に審美面も大きく改善されたことで、患者様には大変満足していただけました。
インプラント治療により、欠損していた右側奥歯もしっかりと咬めるようになったので、今後は左側の治療を開始していきます。
リスクについて
セラミックは破折などにより修復や再製作が必要となることがあります。
外科処置は術後に痛みを伴います。
動画
セラミック治療の注意事項(リスク・副作用など)
- 天然歯を削ります
- 硬い素材は天然歯を傷つけてしまう場合があります
- かみ合わせや歯ぎしりが強すぎる方はセラミックが割れてしまう可能性があります
- 自費診療(保険適用外治療)となります
インプラント治療の注意事項(リスク・副作用など)
- 外科手術のため、術後に痛みや腫れ、違和感を伴います
- メンテナンスを怠ったり喫煙により、お口の中に大きな悪影響を及ぼすインプラント周囲炎等にかかる可能性があります
- 糖尿病、肝硬変、心臓病等の場合、インプラント治療ができない可能性があります
- 高血圧、貧血・不整脈等の場合、インプラント治療後に治癒不全を招く可能性があります
- 自費診療(保険適用外治療)となります
当サイトの内容、テキスト、画像等の無断転載、複製、複写、盗用を固く禁じます。





