症例詳細
Case detail
エムドゲインを用いた歯周病再生治療
治療症例の内容
- 診療科目
- 治療カテゴリ
- 担当医
- 大元洋佑(ドクタープロフィール)
- 患者様
- 50代男性
- 治療期間
- 1年
- 治療回数
- 5-10回
- 治療計画
- 奥歯の歯周病治療を希望され来院されました。
奥歯は重度歯周病で残せない状態でしたが、前歯にも歯周病により歯の周囲の骨が溶けてしまい中等度の歯周病が見られました。
エムドゲインを用いて溶けてしまった歯の周囲の再生を計画します。
- 費用(概算)
- 15万円費用は治療当時の料金となります
歯周病治療について
歯周病は力や歯周病菌が原因による歯周ポケットの形成に端を発する進行性の病気で、最終的に歯の周囲の骨は高度に吸収し、揺れ、抜け落ちてしまいます。
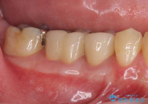
今回治療前は歯周ポケットの値は7mmと、中〜高度の歯周病の状態でしたが、エムドゲインを用いた歯周病再生治療を行うことで、歯周ポケットは3mmまで回復し出血もなく良好な状態を維持しています。
歯周ポケットが再発しないよう、定期的なメンテナンスとチェックが大切です。
歯周組織再生治療に当たっては、手術による疼痛・腫脹・感染等のリスクがあります。
歯周病治療の注意事項(リスク・副作用など)
- 外科手術のため、術後に痛みや腫れ、違和感を伴います
- 歯周組織再生治療は患者様の状態によって術後の経過が異なります(見た目が改善しない場合もあります)
- 歯周組織再生治療は自費診療(保険適用外)となります
当サイトの内容、テキスト、画像等の無断転載、複製、複写、盗用を固く禁じます。















