症例詳細
Case detail
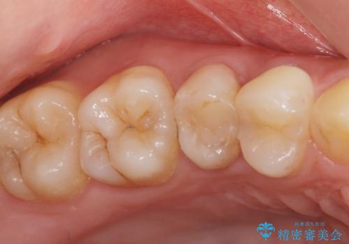
銀歯が取れた 中が虫歯 セラミックインレーに
治療症例の内容
- 診療科目
- 治療カテゴリ
- 担当医
- 井上季実子(ドクタープロフィール)
- 患者様
- 40代女性
- 治療期間
- 1ヶ月
- 治療回数
- 2-5回
- 治療計画
- 矯正治療中に銀の詰め物が取れたとのことでした。
 
 中が虫歯になっていたため、虫歯を除去し、セラミックインレーにやり変えました。
- 費用(概算)
- emax プレスインレー 7万円費用は治療当時の料金となります
治療について
詰め物が取れてくる場合は、中が虫歯で取れる場合があります。
その際は元の詰め物をつけることはできず、インレーのやりかえとなります。
セラミック治療の注意事項(リスク・副作用など)
- 天然歯を削ります
- 硬い素材は天然歯を傷つけてしまう場合があります
- かみ合わせや歯ぎしりが強すぎる方はセラミックが割れてしまう可能性があります
- 自費診療(保険適用外治療)となります
当サイトの内容、テキスト、画像等の無断転載、複製、複写、盗用を固く禁じます。








 
                       
                                                          







 
                   
                   
                  